Неревматические кардиты у детей, как и у взрослых – это заболевания сердца с поражением миокарда, основная причина возникновения которых связана с инфекционно-аллергическими факторами.
Рассмотрим все особенности этого заболевания, развитие в организме, причины возникновения, симптоматику и методы диагностики, схемы лечения и прогнозы на выздоровление. Просто о важном!
Описание и распространенность
Неревматический кардит у детей встречается нередко, но диагностировать это заболевание довольно трудно ввиду отсутствия конкретных критериев диагностики. Клиническая картина вариабельна. В среднем 0,5% всех детей, находящихся на госпитализации, страдают неревматическим кардитом.
Аутопсия показывает, что частота случаев данного заболевания доходит до 8%. При возникновении вирусной инфекции частота патологии возрастает до 15%.
Большое значение в развитии болезни имеет ухудшение микроциркуляции, повышение степени проницаемости сосудов, что приводит к отечности тканей миокарда и отложению иммуннокомплексов. К развитию проницаемости сосудов приводит высвобождение гистамина, серотонина, лизосомальных ферментов.
Фагоцитоз и элиминация вирусов заканчиваются через 10 дней после появления болезни. По истечении 14 дней в сердце они уже отсутствуют. В дальнейшем ускоряется выработка коллагена с уплотнением и превращением в фиброз, который начинает замещать участки некроза.
Наличие вирусов в сердце в течение длительного периода – явление достаточно редкое. Но если это происходит, кардит приобретает рецидивирующий вид заболевания.
После ухода вирусов из тканей миокарда в пораженных клетках длительный период сохраняется нарушение обмена нуклеинов. Под воздействием возбудителей клетки начинают приобретать антигенный характер, образуя при этом определенные антитела. По причине того, что поврежденные и здоровые клетки имеют одинаковый антигенный характер, появляющиеся антитела начинают вступать в контакт со здоровыми клетками миокарда, имеющую перекрестный характер.
Это приводит к образованию новых аутоантигенов, которые стимулируют производство антител. В результате начинается аутоиммунный процесс, приводящий к хронической форме кардита.
Иммунный статус организма также играет важную роль в развитии аутоиммунного процесса. В результате трансформации кардита вирусной природы в аутоиммунный процесс происходит увеличение производства антикардиальных антител и активация клеточного иммунитета.
Причины возникновения
К развитию кардитов чаще всего приводят инфекционные заболевания. Поражение миокарда может произойти в результате воздействия на организм таких возбудителей, как вирусы, грибы, риккетсии, микробы. Основным фактором считаются вирусы. Большой тропностью к тканям сердца обладают энтеровирусы, возбудители краснухи, гриппа, ветрянки.
Также к патологии миокарда могут привести возбудители дифтерии и брюшного тифа. Имеются случаи заболевания, связанные с токсоплазмозом, трихинеллезом.
Замечено, что спектр возбудителей, вызывающих патологию сердца, имеет определенную зависимость от возраста. Например, в первые годы кардиты чаще развиваются в результате воздействия энтеровирусов. После пятилетнего возраста кардиты вызываются наиболее часто стрептококковой инфекцией. Это значит, что заболевание имеет инфекционное происхождение.
Неинфекционные факторы гораздо реже приводят к патологии миокарда: диффузные патологии соединительных тканей, лекарственные или пищевые аллергии.
Классификация
Существует определенная классификация кардитов, хотя зачастую причина развития данного заболевания остается невыясненной. Кардит разделяется по периоду появления заболевания на врожденный и приобретенный.
По характеру природы возникновения болезнь классифицируют на:
- вирусную;
- грибковую;
- вирусно-бактериальную;
- аллергическую;
- бактериальную;
- паразитарную.
По локализации процесса различают кардит или поражение проводимости сердца. Течение болезни может иметь острый, подострый или хронический характер. По степени тяжести заболевание подразделяют на легкую, среднетяжелую, тяжелую формы. Форма сердечной недостаточности: левожелудочковая, правожелудочковая, тотальная.
Для острой формы характерно острое течение, при котором быстро развивается сердечно-сосудистая недостаточность. Терапия при такой форме имеет достаточно хороший эффект. Заболевания длится не более трех месяцев.
Для подострой формы характерно постепенное начало и более длительный период выздоровления, составляющий нередко полтора года. Хроническая форма длится более полутора лет.
Степень тяжести диагностируют по клиническим данным: размерам сердца, признакам ишемии и нарушения метаболизма на ЭКГ, виду аритмий, проявлению сердечной недостаточности.
При легкой степени заболевания выздоровление чаще всего полное. Тяжелое заболевания приводит к миокардическому кардиосклерозу, с сохраняющимися признаками нарушений функций миокарда. Воспалительные признаки при этом отсутствуют.
Коды по МКБ-10
У неревматических кардитов нет единого кода по МКБ-10. Приведем все возможные вариации, существующие в текущей версии международной классификации.
| Коды по МКБ-10 у неревматических миокардитов |
| Коды по МКБ-10 у неревматических эндокардитов |
| Коды по МКБ-10 у неревматических перикардитов |
Читайте также: Окн мкб 10 код
Симптоматика и диагностика
Подозрение на кардит возникает при обнаружении связи поражения сердца с вирусными инфекциями, аллергиями, применением лекарственных препаратов. Острый процесс инфекционной природы наиболее часто развивается в первую неделю заболевания. Клинически поражение сердца проявляется воспалительными признаками.
Симптомами кардитов могут быть субфебрильная температура (высокая температура бывает редко), слабость, повышенное потоотделение. Появляются жалобы на покалывание в области сердца или сильные боли. При поражении миокарда характерны тахикардии, перебои в работе этого органа, появление одышки.
При визуальном осмотре обнаруживается посинение губ, носогубного участка, повышенное сердцебиение. При тяжелых формах пульс иногда альтернирующий.
Для легкой формы заболевания характерно слабое изменение размеров сердца. Граница сердечной тупости смещена влево. При тяжелой форме сердце значительно увеличивается, границы его смещаются во все стороны. Артериальное давление обычно понижено или в норме.
Обычно определяют ослабление тонов сердца, расщепление 1 тона. Иногда выявляются 3 и 4 тоны с ритмом «галопа». Это говорит о том, что снижены тонус миокарда и его сократительная функция. Также бывают выявлены мышечные систолические шумы. Нередко шумы происходят из-за образующегося в результате заболевания пролапса митрального клапана.
Иногда диагностируются шумы трения перикарда. Это наблюдается при вирусных миокардитах, а также при системных нарушениях в соединительных тканях.
В зависимости от видов проявления различают миокардиты:
- малосимптомные;
- болевые;
- декомпенсационные;
- аритмические;
- псевдоклапанные;
- тромбоэмболические;
- смешанные.
К сердечной недостаточности приводит снижение сократительной функции. Для нее характерна одышка, увеличение вен на шее, размеров печени, отечность.
Лабораторные данные неспецифичны. Обычно бывают выявлены в анализах лейкоцитозы, повышение СОЭ, диспротеинемии, наличие СРБ. Повышенные уровни АсАт и КФК говорят о том, что имеется некроз кардиомиоцитов, что более характерно для тяжелой формы. У пациентов с острым кардитом вирусного характера выделяют бактерии и вирусы.

увеличиваются титры противовирусных антител, что зависит от вида инфекции. Иммунный статус также изменен. В крови находят антикардиальные антитела.
Немалую роль в диагностике миокардитов отводят ЭКГ, которая может показывать поражение миокарда даже при легкой форме заболевания. Данные, полученные с помощью эхоКГ малоспецифичны. Обычно выявляются дискенизии миокарда, накопление малого объема жидкости в перикарде, увеличение размеров левого желудочка и предсердия.
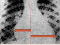
Рентген при выраженном заболевании определяет увеличение размеров сердца.
Диагноз острого кардита подтверждают также при помощи метода сцинтиграфии. С помощью радиоактивного галлия выявляют воспалительные инфильтраты.
Инфекционные формы, характерные для маленьких детей, характеризуется чаще всего ярким кардиальным синдромом, нередко с проявлением перикардитов, которые проявляются даже раньше, чем поражения миокарда.
Для энтеровирусных патологий более характерны поражение миокарда в сочетании с энцефалокардитами. Обычно при этом всегда происходит возникновение недостаточности кровообращения. При устранении этой проблемы в начале болезни, динамика улучшения состояния происходит достаточно быстро — в течение трех недель.
При поражениях сосудов миокарда явное увеличение размеров сердца достаточно редко. Но для этого вида характерен сильный болевой синдром. Также иногда выявляются сыпи, микрогематурии, артралгии.
Кардиты дифференцируют с другими болезнями сердца. При легкой форме заболевания, имеющей слабую симптоматику, дифференцировать кардит довольно затруднительно.
Если у маленьких детей имеются врожденные пороки сердца, этот фактор еще больше затрудняет установку правильного диагноза. Причинами гипердиагностики кардита могут стать аритмии, возникшие в результате вегетативных дисфункций.
Слышали ли вы о пароксизмальной наджелудочковой тахикардии? Выясните все об это заболевании на нашем сайте.
О неотложной терапии при пароксизмальной желудочковой тахикардии и чем отличается эта форма от наджелудочковой, читайте тут.
О том, как лечить синусовую тахикардию и чем она опасна, вы можете прочесть в следующей статье.
Тактика лечения
Тактика лечение неревматических кардитов следующая:
- уничтожение возбудителя заболевания;
- уменьшение воспаления;
- восстановление иммунной реактивности организма;
- улучшение состояния сердечно-сосудистой системы;
- восстановление метаболизма в миокарде.
Если болезнь вызвана стрептококковыми инфекциями, используют пенициллин, клафоран, ампиокс. Для улучшения иммунной реактивности организма применяют внутривенно иммуноглобулины на протяжении 5 дней. Для воздействия на иммунную систему возможно применение экзогенного интерферона-альфа-2, выпускаемого в суппозиториях. Он обладает антивирусным эффектом.
При тяжелой форме назначается преднизолон перорально в течение месяца. При диффузном заболевании и возникновении сердечной недостаточности назначают глюкокортикоиды.
Показано кардиотропное лечение с помощью поляризующей смеси, состоящей из глюкозы, панангина, инсулина, новокаина. Показан также рибоксин. В качестве нестероидных противовоспалительных средств согласно возрасту ребенка назначают диклофенак, напроксен, ингибиторы циклооксигеназы-2.
Читайте также: Код мкб заболевание головного мозга
Из диуретиков при недостаточности кровообращения возможно назначение верошпирона, триампура в комбинации с фуросемидом.
Для снижения нагрузки на миокард показано применение милпринона. Курс обычно короткий. При наличии склонности к тромбообразованию целесообразно включать в терапию дезагреганты (трентал, курантил).
В острый период и при обострении лечение проходит в стационаре. В этих периодах физическую активность следует ограничивать на 2 недели. Терапия направлена на восстановление измененных функций сердца и нормализацию кровообращения.
В рационе питания ребенку назначают богатую витаминами пищу с ограниченным содержанием соли. Объем употребления жидкости назначают исходя из диуреза. При улучшении кровообращения количество соли и жидкости доводят до нормы.
В рационе должно присутствовать повышенное количество калия, особенно если ребенку назначены диуретики и глюкокортикоиды. В период острой фазы кардита запрещено употреблять кофе, чаи, специи, пряности.
Осложнения и прогноз
Основными осложнениями кардитов являются:
- кардиосклерозы;
- гипертрофии миокарда;
- изменения проводимости и ритмов сердца;
- поражение клапанов;
- перикардиты;
- тромбоэмболия.
При вовремя начатой терапии и положительной динамики признаки нарушения работы миокарда постепенно уменьшаются. При легких формах прогноз благоприятен. При тяжелых формах летальность достигает 80%.
Иногда кардит может трансформироваться в дилатационную кардиомиопатию, что может привести к тому, что возникает необходимость в трансплантации сердца. Профилактическими мерами предотвращения кардитов являются своевременное лечение вирусных и бактериальных инфекций, назначенное педиатрами.
Связанные заболевания и их лечение
Описания заболеваний
Национальные рекомендации по лечению
Стандарты мед. помощи
Содержание
- Описание
- Дополнительные факты
- Причины
- Классификация
- Симптомы
- Диагностика
- Лечение
- Прогноз
- Профилактика
- Основные медицинские услуги
- Клиники для лечения
Названия
Название: Неревматические кардиты у детей.
Неревматические кардиты у детей
Описание
Неревматические кардиты у детей. Воспалительные поражения одной или нескольких оболочек сердца, не связанные с ревматической или другой системной патологией. Течение неревматического кардита у детей сопровождается тахикардией, одышкой, цианозом, аритмией, сердечной недостаточностью, отставанием в физическом развитии. При диагностике неревматического кардита у детей учитываются клинические, лабораторные, электрокардиографические, рентгенологические данные. В терапии неревматического кардита у детей используются сердечные гликозиды, НВПС, гормоны, мочегонные, метаболические, противовирусные и антимикробные препараты.
Дополнительные факты
Неревматические кардиты у детей – группа воспалительных заболеваний сердца, преимущественно инфекционно-аллергической этиологии. Целесообразность выделения неревматических кардитов в педиатрии обусловлена не только изолированным, но и часто сочетанным поражением 2-х и 3-х оболочек сердца у детей. Среди неревматических кардитов в детской кардиологии встречаются миокардиты, перикардиты, эндокардиты, а также миоперикардиты и панкардиты. Истинная распространенность неревматических кардитов в детской популяции неизвестна; по данным аутопсии, патология обнаруживается у 3-9% детей. Неревматическими кардитами болеют дети различных возрастных групп, однако среди них преобладают дети раннего возраста, преимущественно мальчики.
Неревматические кардиты у детей
Причины
Неревматический кардит у ребенка может быть обусловлен инфекционными или аллергоиммунологическими факторами. Среди инфекционных агентов преобладают вирусы (ECHO, Коксаки А и В, аденовирусы, вирусы гриппа типа А или В), встречаются бактерии (стрептококки, стафилококки), риккетсии, грибы, ассоциированная флора. Причиной врожденного кардита у ребенка выступают внутриутробные инфекции, воздействующие на плод. Бактериальные неревматические кардиты у детей нередко являются осложнением назофарингеальной инфекции, сепсиса, гематогенного остеомиелита, дифтерии, сальмонеллеза.
Кардиты аллергоиммунологической этиологии могут развиваться как следствие вакцинации, введения сывороток, приема лекарственных препаратов. Довольно часто прослеживается инфекционно-аллергическая природа поражения сердца. Примерно у 10% детей этиология неревматического кардита так и остается невыясненной.
Предрасполагающими факторами, на фоне которых активизируется вирусно-бактериальная микрофлора, повышается восприимчивость к токсинам и аллергенам, изменяется иммунологическая реактивность, могут выступать интоксикации, перенесенные ребенком инфекции, переохлаждения, психоэмоциональные и физические перегрузки, предшествующие хирургические манипуляции на сердце и сосудах, тимомегалия. У части детей с неревматическими кардитами обнаруживаются наследственные нарушения иммунной толерантности.
Классификация
Таким образом, в зависимости от этиологии различают вирусные, бактериальные, паразитарные, грибковые, аллергические, идиопатические неревматические кардиты у детей. Разновидностью инфекционно-аллергического кардита служит миокардит Абрамова-Фидлера.
С учетом фактора времени кардиты делятся на врожденные (ранние и поздние) и приобретенные. По длительности течение кардита может быть острым (до 3-х месяцев), подострым (до 18 месяцев), хроническим (более 18 месяцев); по степени тяжести – легким, среднетяжелым и тяжелым.
Исходом и осложнениями неревматических кардитов у детей могут являться выздоровление, сердечная недостаточность (левожелудочковая, правожелудочковая, тотальная), гипертрофия миокарда, кардиосклероз, нарушение ритма и проводимости, тромбоэмболия, легочная гипертензия, констриктивный перикардит и пр.
Читайте также: Печеночная энцефалопатия код мкб
Симптомы
Врожденные кардиты.
Ранний врожденный неревматический кардит обычно манифестирует сразу после рождения или в первом полугодии жизни. Ребенок рождается с умеренной гипотрофией; с первых дней жизни у него отмечается вялость и быстрая утомляемость при кормлении, бледность кожных покровов и периоральный цианоз, беспричинное беспокойство, потливость. Тахикардия и одышка, выраженные в покое, еще более усиливаются при сосании, плаче, дефекации, купании, пеленании. Дети с врожденными неревматическими кардитами рано и заметно отстают в наборе веса и физическом развитии. Уже в первые месяцы жизни у детей выявляется кардиомегалия, сердечный горб, гепатомегалия, отеки, рефрактерная к терапии сердечная недостаточность.
Клиника позднего врожденного неревматического кардита у детей развивается на 2-3 году жизни. Часто протекает с поражением 2-х или 3-х оболочек сердца. Признаки кардиомегалии и сердечной недостаточности выражены в меньшей степени, по сравнению с ранним кардитом, однако в клинической картине преобладают явления нарушения ритма и проводимости (трепетания предсердий, полная атриовентрикулярная блокада сердца и тд ). Наличие у ребенка судорожного синдрома указывает на инфекционное поражение ЦНС.
Вялость. Одышка. Потливость. Раздражительность. Судороги. Тошнота.
Диагностика
Распознавание неревматического кардита у детей должно проходить при обязательном участии детского кардиолога. При сборе анамнеза важно установить связь манифестации заболевания с предшествующей инфекцией или другими возможными факторами.
Постановке диагноза неревматического кардита у детей помогает совокупность клинико-инструментальных данных. Электрокардиография при кардитах не демонстрирует каких-либо патогномоничных признаков; обычно у детей выявляются длительно сохраняющиеся нарушения ритма сердца, АВ-блокады, блокады ножек пучка Гиса, признаки гипертрофии левых отделов сердца.
При рентгенографии органов грудной клетки выявляется кардиомегалия, изменение формы сердечной тени, усиление легочного рисунка за счет венозного застоя, признаки интерстициального отека легких. Результаты УЗИ сердца у ребенка демонстрируют дилатацию полостей сердца, снижение сократительной активности миокарда левого желудочка и фракции выброса.
При проведении иммунологического анализа крови отмечается повышение иммуноглобулинов (IgM и IgG), нарастание титров вирусных антител. Наиболее точные диагностические сведения возможно получить при эндомиокардиальной биопсии сердечной мышцы.
Врожденные неревматические кардиты у детей необходимо дифференцировать от врожденных пороков сердца (прежде всего, открытого атривентрикулярного канала, аномалии Эбштейна, синдрома Бланда-Уайта-Гарланда), перинатальной гипоксии. Приобретенные неревматические кардиты требуют разграничения с ревматизмом, кардиомиопатией, аритмиями другого генеза, констриктивным перикардитом, пролапсом митрального клапана у детей, опухолями сердца.
Лечение
Терапия неревматического кардита у детей предусматривает стационарное и реабилитационное амбулаторное лечение. В период госпитализации ограничивается двигательная активность ребенка — постельный режим соблюдается в течение 2-4 недель. Основу питания составляет диета с повышенным содержанием солей калия и витаминов. Ребенку показаны занятия ЛФК под контролем инструктора.
Медикаментозную терапию неревматического кардита у детей составляют НПВС, глюкокортикостероиды, сердечные гликозиды, диуретики, препараты метаболического действия, антиагреганты, антикоагулянты, антиаритмические средства, ингибиторы АПФ и тд Если известен этиологический фактор неревматического кардита, ребенку назначается соответствующее этиотропное лечение (иммуноглобулины, интерфероны, антибиотики).
На амбулаторном этапе показаны реабилитационные мероприятия в условиях санатория кардиоревматологического профиля. Диспансерное наблюдение детей, перенесших острый и подострый неревматический кардит, проводится в течение 2-3 лет; врожденный и хронический варианты требуют пожизненного наблюдения. Профилактические прививки детям, перенесшим неревматический кардит, проводятся после снятия с диспансерного учета; хронический кардит является противопоказанием к вакцинации.
Прогноз
При благоприятном развитии событий постепенно регрессируют симптомы сердечной недостаточности, уменьшаются размеры сердца, нормализуется сердечный ритм. Легкие формы неревматического кардита у детей обычно заканчиваются выздоровлением; при тяжелых летальность достигает 80%. Факторами, отягощающими прогноз, служат прогрессирующая сердечная недостаточность, кардиосклероз, легочная гипертензия, стойкие нарушения ритма и проводимости.
Профилактика
Профилактика врожденного неревматического кардита у детей заключается в предупреждении внутриутробного инфицирования плода. Исключить развитие приобретенного кардита позволяет закаливание ребенка, лечение очаговых инфекций, предупреждение поствакцинальных осложнений.
Основные медуслуги по стандартам лечения |
||
Клиники для лечения с лучшими ценами
|










