Связанные заболевания и их лечение
Описания заболеваний
Национальные рекомендации по лечению
Стандарты мед. помощи
Содержание
- Синонимы диагноза
- Описание
- Дополнительные факты
- Классификация
- Причины
- Симптомы
- Диагностика
- Лечение
- Прогноз
- Профилактика
- Основные медицинские услуги
- Клиники для лечения
Другие названия и синонимы
Нефролитиаз, Почечнокаменная болезнь.
Названия
Название: Камни в почках.
Камни в почках
Синонимы диагноза
Нефролитиаз, Почечнокаменная болезнь.
Описание
Камни в почках. Проявление мочекаменной болезни, характеризующееся образованием в почках солевых конкрементов (камней). Камни в почках проявляются ноющей болью в пояснице, приступами почечной колики, гематурией, пиурией. Диагностика камней в почках требует исследования биохимических параметров мочи и крови, проведения УЗИ почек, экскреторной урографии, радиоизотопной нефросцинтиграфии. Лечение почечнокаменной болезни может включать консервативную терапию, направленную на растворение конкрементов, или их хирургическое удаление (пиелолитотомию, нефролитотомию, нефролитотрипсию).
Камни в почках
Дополнительные факты
Камни в почках являются признаком почечнокаменной болезни или нефролитиаза. Практическая урология довольно часто сталкивается с почечнокаменной болезнью, причем камни в почках могут образовываться и у детей, и у взрослых. Среди пациентов с нефролитиазом преобладают мужчины; камни чаще выявляются в правой почке, в 15 % случаев встречается двусторонняя локализация конкрементов.
При мочекаменной болезни, кроме почек, камни могут выявляться в мочевой пузыре (цистолитиаз), мочеточниках (уретеролитиаз) или мочеиспускательном канале (уретролитиаз). Практически всегда первоначально конкременты образуются в почках и оттуда спускаются в нижние отделы мочевого тракта. Встречаются одиночные конкременты и множественные; мелкие камни почек (до 3 мм) и крупные (до 15 см).
Классификация
Образование камней в почках происходит в результате сложного физико-химического процесса при нарушениях коллоидного баланса и изменениях почечной паренхимы.
При определенных условиях из группы молекул образуется, так называемая, элементарная клетка – мицелла, служащая первоначальным ядром будущего конкремента. «Строительным» материалом для ядра могут выступать аморфные осадки, фибриновые нити, бактерии, клеточный детрит, инородные тела, присутствующие в моче. Дальнейшее развитие процесса камнеобразования зависит от концентрации и соотношения солей в моче, рН мочи, качественного и количественного состава мочевых коллоидов.
Чаще всего камнеобразование начинается в почечных сосочках. Первоначально внутри собирательных канальцев формируются микролиты, большая часть которых не задерживается в почках и свободно вымывается мочой. При изменении химических свойств мочи (высокой концентрации, смещении рН и пр. ) происходят процессы кристаллизации, приводящие к задержке микролитов в канальцах и инкрустации сосочков. В дальнейшем камень может продолжать «расти» в почке или спускаться в мочевыводящие пути.
По химическому составу выделяют несколько видов камней, встречающихся в почках – оксалатные, фосфатные, уратные, карбонатные, цистиновые, белковые, холестериновые, ксантиновые. Оксалаты состоят из солей кальция щавелевой кислоты. Они имеют плотную структуру, черно-серый цвет, шиповатую неровную поверхность. Оксалатные камни в почках могут образовываться как при кислой, так и при щелочной реакции мочи.
Фосфаты – это конкременты, состоящие из кальциевых солей фосфорной кислоты. По консистенции они мягкие, крошащиеся, с гладкой или слегка шероховатой поверхностью, беловато-сероватого цвета. Фосфатные камни в почках образуются при щелочной моче, достаточно быстро растут, особенно при наличии инфекции (пиелонефрита).
Ураты представлены кристаллами солей мочевой кислоты. Их структура плотная, цвет – от светло-желтого до кирпично-красного, поверхность — гладкая или мелкоточечная. Уратные камни в почках встречаются при кислой реакции мочи. Карбонатные конкременты формируются при осаждении кальциевых солей угольной (карбонатной) кислоты. Они мягкие, светлые, гладкие, могут иметь различную форму.
В составе цистиновых камней присутствуют сернистые соединения аминокислоты цистина. Конкременты имеют мягковатую консистенцию, гладкую поверхность, округлую форму, желтовато-белый цвет. Белковые камни образованы преимущественно фибрином с примесью бактерий и солей. Такие камни в почках мягкие, плоские, небольшого размера, белого цвета. Холестериновые камни в почках встречаются редко; образуются из холестерина, имеют мягкую крошащуюся консистенцию, черный цвет.
Читайте также: Код мкб травма туловища
Причины
В основе камнеобразования лежат процессы кристаллизации мочи, насыщенной различной солями и осаждение кристаллов на белковую матрицу-ядро. Почечнокаменная болезнь может развиваться при наличии целого ряда сопутствующих факторов.
Нарушение минерального обмена, ведущее образованию камней в почках, может быть генетически обусловленным. Поэтому людям с семейной историей нефролитиаза рекомендуется уделять внимание профилактике камнеобразования, раннему выявлению конкрементов с помощью контроля общего анализа мочи, прохождения УЗИ почек и УЗИ мочевого пузыря, наблюдения у уролога.
Приобретенные нарушения солевого обмена, приводящие к образованию камней в почках, могут быть обусловлены внешними (экзогенными) и внутренними (эндогенными) причинами.
В числе внешних факторов наибольшее значение отводится климатическим условиям и питьевому режиму и пищевому рациону. Известно, что в жарком климате при усиленном потоотделении и определенной степени обезвоженности организма, концентрация солей в моче повышается, что приводит к образованию камней в почках. Обезвоживание организма может быть вызвано отравлением или инфекционным заболеванием, протекающим с рвотой и поносом.
В северных регионах факторами камнеобразования могут выступать дефицит витаминов А и D, недостаток ультрафиолета, преобладание рыбы и мяса в рационе. Употребление питьевой воды с повышенным содержанием известковых солей, пищевое пристрастие к острому, кислому, соленому также приводит к ощелачиванию или закислению мочи и выпадению осадка из солей.
Среди внутренних факторов, способствующих образованию камней в почках, в первую очередь, выделяют гиперфункцию околощитовидных желез – гиперпаратиреоз. Усиленная работа паращитовидных желез увеличивает содержание фосфатов в моче и вымывание кальция из костной ткани. При этом концентрация фосфатных солей кальция в моче значительно повышается. Аналогичные нарушения минерального обмена могут возникать при остеопорозе, остеомиелите, переломах костей, повреждениях позвоночника, травмах спинного мозга, сопровождающихся длительной обездвиженностью пациента, разрежением костной ткани, нарушением динамики опорожнения мочевых путей.
К эндогенным факторам образования камней в почках также относятся заболевания ЖКТ – гастриты, язвенная болезнь, колиты, приводящие к нарушению кислотно-щелочного равновесия, повышенному выведению солей кальция, ослаблению барьерных функций печени и изменению состава мочи.
В патогенезе образования камней в почках известная роль принадлежит неблагоприятным местным условиям в мочевых путях – инфекциям (пиелонефриту, нефротуберкулезу, циститу, уретриту), простатиту, аномалиям почки, гидронефрозу, аденоме предстательной железы, дивертикулиту и другим патологическим процессам, нарушающим пассаж мочи.
Замедление оттока мочи из почки вызывает застой в чашечно-лоханочной системе, перенасыщение мочи различными солями и их выпадение в осадок, задержку отхождения с мочой песка и микролитов. В свою очередь, развивающийся на фоне уростаза инфекционный процесс приводит к попаданию в мочу воспалительных субстратов — бактерий, слизи, гноя, белка. Эти вещества участвуют в образовании первичного ядра будущего конкремента, вокруг которого и кристаллизуются соли, в избытке присутствующие в моче.
Симптомы
В зависимости от своего размера, количества и состава камни в почках могут давать симптоматику различной выраженности. Типичная клиника нефролитиаза включает боли в пояснице, развитие почечной колики, гематурию, пиурию, иногда – самостоятельное отхождение камня из почки с мочой.
Боли в пояснице развиваются вследствие нарушения оттока мочи, могут быть ноющими, тупыми, а при резко возникшем уростазе, при закупорке камнем лоханки почки или мочеточника, прогрессировать до почечной колики. Коралловидные камни в почках обычно сопровождаются нерезкой тупой болью, а мелкие и плотные дают резкую приступообразную боль.
Типичный приступ почечной колики сопровождается внезапными острыми болями в поясничной области, распространяющимися по ходу мочеточника в промежность и половые органы. Рефлекторно на фоне почечной колики возникают учащенные болезненные мочеиспускания, тошнота и рвота, метеоризм. Пациент возбужден, беспокоен, не может найти себе позы, облегчающей состояние. Болевой приступ при почечной колике настолько выражен, что зачастую купируется только введением наркотических препаратов. Иногда при почечной колике развивается олигоурия и анурия, лихорадка.
По окончании приступа почечной колики песок и камни из почек нередко отходят с мочой. При отхождении камни могут травмировать слизистую мочевых путей, вызывая гематурию. Чаще повреждение слизистой вызывают остроконечные оксалатные конкременты. При камнях в почках интенсивность гематурии может быть различной – от незначительной эритроцитурии до выраженной макрогематурии. Выделение гноя с мочой (пиурия) развивается при наличии воспаления в почках и мочевых путях.
Метеоризм. Понос (диарея). Рвота. Тошнота. Увеличение СОЭ.
Читайте также: Шварты код по мкб
Диагностика
Распознавание камней в почках производится на основе анамнеза, типичной картины почечных колик, лабораторных и инструментальных визуализирующих исследований.
На высоте почечной колики определяется резкая боль на стороне пораженной почки, положительный симптом Пастернацкого, болезненность пальпации соответствующей почки и мочеточника. Исследование мочи после приступа выявляет наличие свежих эритроцитов, лейкоцитов, белка, солей, бактерий. Биохимическое исследование мочи и крови в определенной степени позволяет судить о составе и причинах образования камней в почках.
Правостороннюю почечную колику необходимо дифференцировать с аппендицитом, острым холециститом, в связи с чем может потребоваться выполнение УЗИ брюшной полости. С помощью УЗИ почек оцениваются анатомические изменения органа, наличие, локализация и движение камней.
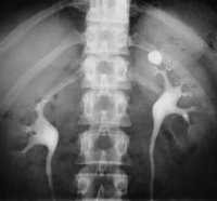
Ведущим методом выявления камней в почках служит рентгеновская диагностика. Большая часть конкрементов определяется уже при обзорной урографии. Однако белковые и мочекислые (уратные) камни почек не задерживают лучи и не дают теней на обзорных урограммах. Они подлежат выявлению с помощью экскреторной урографии и пиелографии. Кроме того, экскреторная урография дает информацию о морфо-функциональных изменениях в почках и мочевых путях, локализации конкрементов (лоханка, чашечка, мочеточник), форме и размерах камней в почках. При необходимости урологическое обследование дополняется радиоизотопной нефросцинтиграфией, МРТ или КТ почек.
Лечение
Лечение нефролитиаза может быть консервативным или оперативным и во всех случаях направлено на удаление камней из почек, устранение инфекции и предупреждение повторного образования конкрементов.
При мелких почечных камнях (до 3 мм), которые могут быть выведены самостоятельно, назначается обильная водная нагрузка и диета, исключающая мясо и субпродукты. При уратных камнях рекомендуется молочно-растительная диета, ощелачивающая мочу, щелочные минеральные воды (боржоми, ессентуки); при фосфатных конкрементах – прием кислых минеральных вод (Кисловодск, Железноводск, Трускавец) Дополнительно под контролем нефролога могут применяться лекарственные препараты, растворяющие камни в почках, диуретики, антибиотики, нитрофураны, спазмолитики.
При развитии почечной колики лечебные мероприятия направлены на снятие обструкции и болевого приступа. С этой целью применяются инъекции платифиллина, метамизола натрия, морфина или комбинированных анальгетиков в сочетании раствором атропина; проводится теплая сидячая ванна, прикладывается грелка к поясничной области. При некупирующейся почечной колике требуется проведение новокаиновой блокады семенного канатика (у мужчин) или круглой связки матки (у женщин), проведение катетеризации мочеточника либо рассечение устья мочеточника (при ущемлении конкремента).
Оперативное удаление камней из почек показано при частых почечных коликах, вторичном пиелонефрите, крупных конкрементах, стриктурах мочеточника, гидронефрозе, блокаде почки, угрожающей гематурии, камнях единственной почки, коралловидных камнях.
В практике при нефролитиазе часто применяется неинвазивный метод – дистанционная литотрипсия, позволяющая избежать какого-либо вмешательства в организм и вывести осколки камней из почек через мочевые пути. В ряде случаев альтернативой открытой хирургии служит высокотехнологичная процедура — перкутанная (чрескожная) нефролитотрипсия с литоэкстракцией.
К открытым или лапароскопическим вмешательствам по извлечению камней из почек – пиелолитотомии (рассечению лоханки) и нефролитотомии (рассечению паренхимы) прибегают в случае неэффективности малоинвазивной хирургии. При осложненном течении почечнокаменной болезни и потере функции почки показана нефрэктомия.
После удаления конкрементов пациентам рекомендуется курортное лечение, пожизненное соблюдение диеты, устранение сопутствующих факторов риска.
Прогноз
В большинстве случаев течение нефролитиаза прогностически благоприятно. После удаления камней из почек при условии соблюдения предписаний врача-уролога, заболевание может не рецидивировать. В неблагоприятных случаях может развиваться калькулезный пиелонефрит, симптоматическая гипертония, хроническая почечная недостаточность, гидропионефроз.
Профилактика
При любых видах камней в почках рекомендуется увеличение объема питья до 2 л в сутки; употребление специальных травяных сборов; исключение острой, копченой и жирной пищи, алкоголя; исключение переохлаждений; улучшение уродинамики посредством умеренной физической активности и физкультуры. Профилактика осложнений нефролитиаза сводится к раннему удалению камней из почек, обязательному пролечиванию сопутствующих инфекций.
Основные медуслуги по стандартам лечения |
||
Клиники для лечения с лучшими ценами
|

