- 3 Июля, 2018
- Неврология
- Попова Наталья
Неврология — сложнейшая отрасль медицины. Ведь сфера ее деятельности — процессы, проходящие в тончайшей области человеческого организма — центральной и периферической нервной системах. Синдром гипертензионно-гидроцефальный как раз относится к проблемам в этой области и рассматривается с точки зрения неврологии.
Два понятия в одном
Наименование «гипертензионно-гидроцефальный синдром» содержит два основных термина, что относит его к двум серьезным проблемам — гипертензии и гидроцефалии. Гипертензия — повышение давления, а гидроэнцефалия — избыток жидкости в головном мозге. Оба этих симптома — серьезные показатели проблемы с организмом, причем они во многом зависят один от другого, а их симбиоз становится именно тем, что называется синдром гипертензионно-гидроцефальный.
Что такое ГГС?
В здоровом организме все системы и органы работают так, как заложено природой, со своими особенностями, определенными последовательностями различных процессов. Иногда случается так, что какая-то система начинает работать неправильно, это ведет к развитию проблем в работе того или иного органа или же самой системы, что отражается на самочувствии и на здоровье человека. Синдром гипертензионно-гидроцефальный представляет собой нарушение выработки спинномозговой жидкости (ликвора), ее обмена и всасывания с постепенным скоплением в желудочках и под оболочками головного мозга. Формируется гидроцефалия, приводящая к гипертензии — повышению внутричерепного давления. Все вместе является синдромом гипертензионно-гидроцефальным.
Формы синдрома
Синдром гипертензионно-гидроцефальный — особое состояние головного мозга, обусловленное скоплением спинномозговой жидкости (ликвора) и следующего за этим повышения внутричерепного давления (гипертензии). Клиницисты выделяют несколько видов данного симптома. Основное деление — открытая (несообщающаяся) и закрытая (сообщающаяся, обструктивная) форма заболевания, характеризующаяся особенностями сбора ликвора.
Открытая, необструктивная форма гипертензионно-гидроцефального синдрома врачами делится на три типа:
- гиперсекреторная, определяемая только наличием папилломы сосудистых сплетений, а также при острых воспалительных заболеваниях мозга и его оболочек;
- гипорезорбционная (арезорбтивная);
- гиперсекреторно-гипорезорбционная (смешанная) форма.
Закрытая, в свою очередь, разделяется на:
- моновентрикулярную — ассиметричную;
- бивентрикулярную — затронуты оба желудочка и межжелудочковые пространства;
- тривентрикулярную — при блокаде водопровода мозга расширены боковые желудочки;
- тетравентрикулярную — затронуты все отделы желудочковой системы, межжелудочковые отверстия, водопровод мозга.
Легкий гипертензионно-гидроцефальный синдром — абсолютно условный, бытовой термин. Он подразумевает отсутствие изменений в головном мозге из-за наличия ГГС, с незначительным повышением внутричерепного давления и положительным потенциалом на выздоровление.
Возможные причины заболевания
Повышение внутричерепного давления как результат скопления излишней спинномозговой жидкости носит название гипертензионно-гидроцефальный синдром. У детей и у взрослых такая патология может развиваться по многим причинам:
- нарушение обмена веществ;
- новообразования;
- гематомы в отделах головного мозга;
- гипертензия;
- инсульт;
- вирусные заболевания — энцефалит, малярия;
- оскольчатые травмы черепной коробки;
- паразитарные кисты.
ГГС у новорожденных
Гипертензионно-гидроцефальный синдром у грудничка — термин неонатологии, определяющий целый комплекс показателей, характеризующих возможность предположить повышение внутричерепного давления у новорожденного, как результат скопления спинномозговой жидкости в головном мозге. В абсолютном большинстве случаев эта проблема развивается у младенца еще в утробе матери. Ее причинами могут быть:
- гипоксия (нехватка кислорода) плода;
- патологии развития ребенка в результате генетических заболеваний, наркотической, алкогольной или табачной интоксикации плода;
- травмы плода;
- травмы при прохождении по родовым путям.
Риск развития у ребенка ГГС резко увеличивается в следущих случаях:
- ранние или, наоборот, поздние роды;
- токсикоз (эклампсия и преэклампсия);
- патологии беременности (предлежание плаценты, отслойка плаценты);
- преждевременное отхождение (более чем за 12 часов) околоплодных вод;
- хронические болезни матери;
- вирусные или инфекционные заболевания, перенесенные матерью во время вынашивания беременности;
- многоплодная беременность.
Наличие проблем в развитии новорожденного оценивается при помощи специальной методики, получившей название «шкала Апгар». Она рассматривает совокупность определенных показателей по бальной системе. Ребенок, родившийся с ГГС, имеет показатели в пределах 6 баллов, в то время как абсолютно здоровый новорожденный имеет 10 баллов.
ГГС у детей
Нарушение циркуляции ликвора, его скопление в межжелудочковых пространствах и под оболочками мозга называется гипертензионно-гидроцефальный синдром. У малышей, родившихся с такой проблемой здоровья, повышение внутричерепного давления и гидроцефалия отражаются не только на состоянии здоровья и развитии, но и во внешности. Объем головы грудничка превышает нормальные показатели на 1-2, а в некоторых случаях и больше сантиметров. Также характерный внешний признак — «ввалившиеся» глаза и нависающие надбровные дуги. Но ГГС может быть не только врожденным заболеванием, но и приобретенным в более старшем возрасте. Для детей от 3 до 12 лет характерными признаками ГГС будут:
- утренняя головная боль;
- дезориентированность в пространстве во время приступов головной боли;
- вялость и сонливость;
- невнимательность;
- ухудшение памяти;
- проявление светобоязни и боязни громких звуков;
- мышечный тонус;
- появляется косоглазие.
Читайте также: Сколько хромосом у человека с синдромом аутизма
Такое состояние развивается зачастую после перенесенных инфекционных или вирусных заболеваний, а также травм головы.
ГГС у взрослых
Синдром гипертензионно-гидроцефальный — это не только проблема новорожденных и детей. Она может развиться и у взрослых людей. Причинами такого состояния у взрослых могут стать травмы головы, заболевания, опухоли, крупные аневризмы. Гипертензионно-гидроцефальный синдром у взрослых проявляется таким образом:
- сильная головная боль, повторяющая все чаще;
- систематические тошнота и рвота;
- расстройства зрения;
- апатия;
- раздражительность;
- судороги;
- головокружения;
- потеря сознания;
- кома.
Клиническая картина
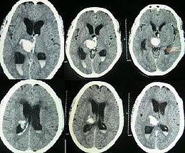
Увеличение ликвора и скопление его в межжелудочковых пространствах и под оболочками мозга ведет к повышению внутричерепного давления. Называется такое состояние гипертензионно-гидроцефальный синдром. Признаки его хорошо видны при проведении специального обследования — компьютерной томографии: расширение полостей с ликвором и сдавливание, уменьшение мозгового вещества. Именно такие процессы служат основой клинической картины ГГС — головные боли, тошнота, нарушения зрения, внимания, способности к обработке полученной информации, апатии и раздражительности.
Особенностью основного симптома — головной боли и у детей, и у взрослых — является ее проявление в утренние часы, когда человек проснулся и встал с постели. Изменение положения тела с горизонтального на вертикальное становится причиной затруднения циркуляции ликвора, вызывает повышение внутричерепного давления и, как следствие, головную боль. Значительное увеличение ВЧД может привести к тошноте, рвоте, судорогам и даже коме. Пациенты в возрасте отмечают нарушение памяти и внимательности, расстройства способности обрабатывать полученную любым путем информацию, что приводит к проблемам в профессиональной деятельности и в быту. Для грудных детей наблюдение клинической картины сводится к беспокойству, плачу, ребенок может срыгивать «фонтаном». Сон грудничка нарушен, он часто просыпается, капризничает. Любые проблемы со здоровьем требуют не самолечения, а грамотной диагностики.
Диагностика ГГС
Синдром гипертензионно-гидроцефальный — достаточно сложная проблема в плане диагностики, по внешним признакам и анамнезу больного трудно установить даже предварительный диагноз. Единственное — врожденная гидроцефалия и, как следствие, повышение внутричерепного давления визуализируется по внешним признакам: увеличение размеров головы, глубоко посаженные глаза, нависающие надбровные дуги. Для постановки косвенного диагноза ГГС необходимо провести комплексное обследование:
- рентгенография черепа для выявления деформации костей черепа;
- консультация офтальмолога на предмет выявления отека слизистого диска, сосудистых изменений;
- эхоэнцефалография.
Точная диагностика, способная показать увеличение объема ликвора и повышение внутричерепного давления производится лишь в специализированных медицинских учреждениях, занимающихся нейрохирургией. Но так как ГГС — это лишь синдром, вызванный какой-то патологией или заболеванием, необходимо установить именно его. Адекватное лечение ГГС производится на основании лечения основного заболевания или патологии.
Последствия ГГС
Гипертензионно-гидроцефальный синдром у новорожденных — опасное состояние, способное привести к инвалидности и смерти ребенка. Развитие внутричерепного давления приводит к поражению тканей мозга или его оболочек. На возможные последствия ГГС влияет первопричина гидроцефалии и гипертензии головного мозга. Она может быть быстропроходящей при качественном лечении и не вызывать серьезных последствий, а может иметь серьезную патологию развития мозга, что в любом случае ведет к безнадежности прогноза.
Для взрослых также важна первопричина появления ГГС и потенциальная возможность избавления именно от причины. От клиники основного заболевания будет зависеть и прогноз ГГС, и его последствия.
Лечение
Терапия синдрома гипертензионно-гидроцефального использует комплексный подход. Лечение назначается неврологом совместно с нейрохирургом и офтальмологом. Пациенту назначают препараты, снимающие избыточное количество ликвора — мочегонные препараты специального назначения, ноотропные средства, улучшающие мозговое кровообращение, седативные лекарства. Назначаются также массажи и физиотерапевтические процедуры. В крайних случаях лечение проводится с хирургическим вмешательством. Так как прогноз ГГС может быть критическим, необходимо своевременно принять меры как к избавлению от гидроцефалии и гипертензии головного мозга, так и устранению причин, их вызвавших.
Синдром гипертензионно-гидроцефальный — серьезная проблема со здоровьем и для взрослого человека, и для ребенка. Он может возникнуть по разным причинам и иметь сложный прогноз на лечение и последствия. Нельзя не обращать внимания на первичные признаки — головные боли, раздражительность, детский плач и капризность. Грамотное обследование и своевременно назначенное лечение позволят компенсировать проблему с наименьшими патологическими последствиями.









