Содержание
- Описание
- Дополнительные факты
- Симптомы
- Классификация
- Течение и стадии
- Основные медицинские услуги
- Клиники для лечения
Названия
Название: Остеохондропатии.
Остеохондропатии
Описание
Остеохондропатии. Группа цикличных, длительно текущих заболеваний, в основе которых лежит нарушение питания костной ткани с ее последующим асептическим некрозом. Вторичные клинические и рентгенологические проявления остеохондропатий связаны с рассасыванием и замещением разрушенных участков кости. К остеохондропатиям относятся болезнь Легга-Кальве-Пертеса, болезнь Остгуд-Шлаттера, Болезнь Келера, болезнь Шейермана-Мау, болезнь Шинца и тд Диагностика остеохондропатии основывается на УЗИ, рентгенологических и томографических данных. Лечение включает иммобилизацию, физиотерапию, витаминотерапию, ЛФК. По показаниям проводится хирургическое лечение.
Дополнительные факты
Остеохондропатии развиваются у пациентов детского и юношеского возраста, чаще поражают кости нижних конечностей, характеризуются доброкачественным хроническим течением и относительно благоприятным исходом. Подтвержденных данных о распространенности остеохондропатий в медицинской литературе не имеется.
Болезнь Пертеса.
Полное название – болезнь Легга-Кальве-Пертеса. Остеохондропатия тазобедренного сустава. Поражает головку тазобедренной кости. Чаще развивается у мальчиков в возрасте 4-9 лет. Возникновению остеохондропатии может предшествовать (не обязательно) травма области тазобедренного сустава.
Болезнь Пертеса начинается с легкой хромоты, к которой позже присоединяются боли в области повреждения, нередко отдающие в область коленного сустава. Постепенно симптомы остеохондропатии усиливаются, движения в суставе становятся ограниченными. При осмотре выявляется нерезко выраженная атрофия мышц бедра и голени, ограничение внутренней ротации и отведения бедра. Возможна болезненность при нагрузке на большой вертел. Нередко определяется укорочение пораженной конечности на 1-2 см, обусловленное подвывихом бедра кверху.
Остеохондропатия длится 4-4,5 года и завершается восстановлением структуры головки бедра. Без лечения головка приобретает грибовидную форму. Поскольку форма головки не соответствует форме вертлужной впадины, со временем развивается деформирующий артроз. С диагностической целью проводят УЗИ и МРТ тазобедренного сустава.
Для того, чтобы обеспечить восстановление формы головки, необходимо полностью разгрузить пораженный сустав. Лечение остеохондропатии проводится в стационаре с соблюдением постельного режима в течение 2-3 лет. Возможно наложение скелетного вытяжения. Пациенту назначают физио- витамино- и климатолечение. Огромное значение имеют постоянные занятия лечебной гимнастикой, позволяющие сохранить объем движений в суставе. При нарушении формы головки бедра выполняются костно-пластические операции.
Болезнь Остгуд-Шлаттера.
Остеохондропатия бугристости большеберцовой кости. Болезнь развивается в возрасте 12-15 лет, чаще болеют мальчики. Постепенно возникает припухлость в области поражения. Пациенты жалуются на боли, усиливающиеся при стоянии на коленях и ходьбе по лестнице. Функция сустава не нарушается или нарушается незначительно.
Лечение остеохондропатии консервативное, проводится в амбулаторных условиях. Пациенту назначают ограничение нагрузки на конечность (при сильной боли накладывают гипсовую шину на 6-8 недель), физиолечение (электрофорез с фосфором и кальцием, парафиновые аппликации), витаминотерапию.
Остеохондропатия протекает благоприятно и заканчивается выздоровлением в течение 1-1,5 лет.
Болезнь Келера-II.
Остеохондропатия головок II или III плюсневых костей. Чаще поражает девочек, развивается в возрасте 10-15 лет. Болезнь Келера начинается постепенно. В области поражения возникают периодические боли, развивается хромота, проходящая при исчезновении болей. При осмотре выявляется незначительный отек, иногда – гиперемия кожи на тыле стопы. В последующем развивается укорочение II или III пальца, сопровождающееся резким ограничением движений. Пальпация и осевая нагрузка резко болезненны.
В сравнении с предыдущей формой данная остеохондропатия не представляет значительной угрозы для последующего нарушения функции конечности и развития инвалидности. Показано амбулаторное лечение с максимальной разгрузкой пораженного отдела стопы. Пациентам накладывают специальный гипсовый сапожок, назначают витамины и физиотерапию.
Болезнь Келера-I.
Остеохондропатия ладьевидной кости стопы. Развивается реже предыдущих форм. Чаще поражает мальчиков в возрасте 3-7 лет. Вначале без видимых причин появляются боли в стопе, развивается хромота. Затем кожа тыла стопы краснеет и отекает.
Лечение остехондропатии амбулаторное. Пациенту ограничивают нагрузку на конечность, при сильных болях накладывают специальный гипсовый сапожок, назначают физиолечение. После выздоровления рекомендуют носить обувь с супинатором.
Лечение остеохондропатии амбулаторное, включает в себя ограничение нагрузки, электрофорез с кальцием и тепловые процедуры.
Болезнь Шермана-Мау.
Остеохондропатия апофизов позвонков. Распространенная патология. Болезнь Шейермана-Мау возникает в подростковом возрасте, чаще у мальчиков. Сопровождается кифозом средне- и нижнегрудного отдела позвоночника (круглая спина). Боли могут быть слабыми или вовсе отсутствовать. Иногда единственным поводом для обращения к ортопеду становится косметический дефект.
Диагностика этого вида остеохондропатии осуществляется при помощи рентгенографии и КТ позвоночника. Дополнительно для исследования состояния спинного мозга и связочного аппарата позвоночного столба проводят МРТ позвоночника.
Остеохондропатия поражает несколько позвонков и сопровождается их выраженной деформацией, остающейся на всю жизнь. Для сохранения нормальной формы позвонков больному необходимо обеспечить покой. Большую часть дня пациент должен находиться в постели в положении на спине (при выраженном болевом синдроме проводится иммобилизация с использованием задней гипсовой кроватки). Больным назначают массаж мышц живота и спины, лечебную гимнастику. При своевременном, правильном лечении прогноз благоприятный.
Болезнь Кальве.
Остеохондропатия тела позвонка. Развивается болезнь Кальве в возрасте 4-7 лет. Ребенок без видимых причин начинает жаловаться на боль и чувство утомления в спине. При осмотре выявляется локальная болезненность и выстояние остистого отростка пораженного позвонка. На рентгенограммах определяется значительное (до ¼ от нормы) снижение высоты позвонка. Обычно поражается один позвонок в грудном отделе.
Лечение данной остеохондропатии проводится только в стационаре. Показан покой, лечебная гимнастика, физиопроцедуры. Структура и форма позвонка восстанавливается в течение 2-3 лет.
Читайте также: Код мкб метастазы легкого
Частичные остеохондропатии суставных поверхностей.
Обычно развиваются в возрасте от 10 до 25 лет, чаще встречаются у мужчин. Около 85% частичных остеохондропатий развивается в области коленного сустава.
Как правило, участок некроза появляется на выпуклой суставной поверхности. В последующем поврежденная область может отделиться от суставной поверхности и превратиться в «суставную мышь» (свободно лежащее внутрисуставное тело). Диагностика проводится путем УЗИ или МРТ коленного сустава.
На первых стадиях развития остеохондропатии проводится консервативное лечение: покой, физиотерапия, иммобилизация При образовании «суставной мыши» и частых блокадах сустава показано оперативное удаление свободного внутрисуставного тела.
Симптомы
Боль в голеностопе. Боль в колене.
Классификация
В травматологии выделяют четыре группы остеохондропатий:
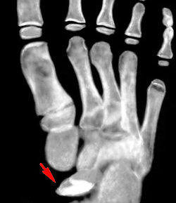
• Остеохондропатии метафизов и эпифизов длинных трубчатых костей. В эту группу остеохондропатий входит остеохондропатия грудинного конца ключицы, фаланг пальцев рук, тазобедренного сустава, проксимального метафиза большеберцовой кости, головок II и III плюсневых костей.
• Остеохондропатии коротких губчатых костей. К этой группе остеохондропатий относится остеохондропатии тел позвонков, полулунной кости кисти, ладьевидной кости стопы, а также сесамовидной кости I плюснефалангового сустава.
• Остеохондропатии апофизов. В эту группу остеохондропатий включают остеохондропатию лонной кости, апофизарных дисков позвонков, бугра пяточной кости и бугристости большеберцовой кости.
• Клиновидные (частичные) остеохондропатии, поражающие суставные поверхности локтевого, коленного и других суставов.
Течение и стадии
Первая стадия остеохондропатии. Некроз костной ткани. Продолжается до нескольких месяцев. Больного беспокоят слабые или умеренные боли в пораженной области, сопровождающиеся нарушением функции конечности. Пальпация болезненна. Регионарные лимфатические узлы обычно не увеличены. Рентгенологические изменения в этот период могут отсутствовать.
Вторая стадия остеохондропатии. «Компрессионный перелом». Продолжается от 2-3 до 6 и более месяцев. Кость «проседает», поврежденные костные балки вклиниваются друг в друга. На рентгенограммах выявляется гомогенное затемнение пораженных отделов кости и исчезновение ее структурного рисунка. При поражении эпифиза его высота уменьшается, выявляется расширение суставной щели.
Третья стадия остеохондропатии. Фрагментация. Длится от 6 месяцев до 2-3 лет. На этой стадии происходит рассасывание омертвевших участков кости, их замещение грануляционной тканью и остеокластами. Сопровождается уменьшением высоты кости. На рентгенограммах выявляется уменьшение высоты кости, фрагментация пораженных отделов кости с беспорядочным чередованием темных и светлых участков.
Четвертая стадия остеохондропатии. Восстановление. Продолжается от нескольких месяцев до 1,5 лет. Происходит восстановление формы и, несколько позже – и структуры кости.
Полный цикл остеохондропатии занимает 2-4 года. Без лечения кость восстанавливается с более или менее выраженной остаточной деформацией, в дальнейшем приводящей к развитию деформирующего артроза.
Основные медуслуги по стандартам лечения |
||
Клиники для лечения с лучшими ценами
|
Остеохондропатия относится к патологиям детского и подросткового возраста. Она встречается при сильной осевой нагрузке и травмах.
Остеохондропатия — это группа заболеваний, каждое из которых не только поражает определенную часть сустава, но и имеет свою особую клиническую картину. Всех их объединяет то, что лечение на ранних сроках позволяет добиться хороших результатов и предотвратить возникновение рецидива.
Из-за сложности строения коленного сустава нельзя не выделить отдельные виды патологических состояний. Хоть они и объединены по патогенетическому принципу, клиническая картина их значительно отличается.
Остеохондропатия коленного сустава имеет код по МКБ-10 — М92.5, поражение бугристости большеберцовой кости — М92.0, а надколенника — М92.4. Другие виды остеохондропатии имеют код М93.
Болезнь Остгуд-Шлаттера
Фото: Болезнь Шлаттера
Остеохондропатии бугристости большеберцовой кости подвержены подростки в возрасте до 15 лет, преимущественно мужского пола, что можно объяснить большей подвижностью и страстью к активным играм.
Главным провоцирующим фактором считаются микротравмы большеберцовой кости, которые часто не диагностируются и тем более не лечатся. Заболевание развивается медленно, первым проявлением является припухлость и отечность в области сустава.
При прогрессировании состояния возникают дискомфорт, болезненные ощущения, нарушается функция сустава (сложно подниматься по лестнице, заниматься спортом).
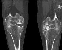
Болезнь Кёнинга или рассекающий остеохондрит
Болезнь Кёнинга
Данное заболевание характеризуется отслоением хрящевой ткани от кости и даже полным ее отделением. При этом тканевой фрагмент свободно перемещается в полости сустава, препятствуя движению и вызывая болезненные ощущения.
Одним из основных предрасполагающих факторов считается нарушение кровообращения в поврежденном участке. Отторжение хряща занимает длительное время, поэтому связь с предшествующей травмой удается установить крайне редко.
В зависимости от степени тяжести состояния выделяют несколько стадий заболевания:
- Размягчение хрящевой ткани, «выпячивание» поврежденной ткани в суставную полость.
- Прогрессирование симптомов, появление первых признаков заболевания на рентгенограмме.
- В области поражения появляется асептическое расплавление тканей, может возникать частичное отторжение хряща.
- Некротизированная ткань полностью отделяется от кости и свободно «дрейфует» в полости сустава.
Как и любая остеохондропатия, болезнь Кёнинга развивается медленно и симптоматика нарастает постепенно. Первые проявления — это болезненные ощущения во время движения и в покое. Затем нарастает отек коленного сустава и нарушается его функция за счет скопления большого количества внутрисуставной жидкости (из-за воспалительно-дегенеративного процесса).
При четвертой стадии (отделение некротизированной ткани) возможно блокирование сустава. Причиной этого становится так называемая «суставная мышь», которая вклинивается между суставными поверхностями. Она же может стать причиной развития деформирующего артроза.
Болезнь Синдига-Ларсена-Йогансона
Остеохондропатия надколенника: рентген
Читайте также: Лимфома зоны мантии код по мкб 10
Остеохондропатия надколенника также встречается преимущественно у мальчиков в возрасте от 6 до 15 лет. Некроз ткани в этом случае локализуется в области верхнего или нижнего надколенника. Вся клиническая картина мало чем отливается от остальных остеохондропатий:
- Выраженный болевой синдром, интенсивность которого уменьшается в состоянии покоя.
- При пальпации коленной чашечки пациенты жалуются на чувство дискомфорта, боль. Врач отмечает покраснение и отечность этой области («колено прыгуна»).
- Артралгии могут беспокоить больного довольно длительное время — до полугода.
Основной причиной возникновения болезни Синдига-Ларсена-Иогансона считается перенапряжение связочного аппарата коленного сустава, особенно той его части, которая отвечает за распрямление ноги. На рентгеновском снимке отчетливо видно место эррозии в участке воспаления. Так же может возникнуть из-за вражденного фрагментированного надколенника.
Методы диагностики
Ультразвуковое исследование для определения любого вида хондропатий
Эта группа заболеваний имеет схожий патогенез, то и методы диагностики для всех видов остеохондропатий общие. Есть несколько ведущих методик при лечении остеохондропатии коленного сустава у детей и взрослых:
- ультразвуковое исследование позволяет с высокой вероятностью определить любой из видов хондропатий. Это наиболее информативный, при этом абсолютно безболезненный метод, который позволяет оценить состояние рентгеннегативных структур;
- при помощи сцинтиографии благодаря введению в организм радиоактивных изотопов (которые накапливаются в большом количестве в воспаленной ткани) можно получить достоверное изображение. К сожалению, она не используется в педиатрии;
- магнитно-резонансная томография чаще всего используется для визуализации патологии при болезни Кенинга на начальных этапах заболевания.
Так как остеохондропатии не имеют патогномоничной клиничнеской картины или синдромов, то очень важно правильно провести дифференциальную диагностику со схожими заболеваниями.
И если все вышеперечисленные способы относятся к неинвазивным, то при помощи артроскопии можно не только рассмотреть поврежденный участок тканей, то и взять кусочек для гистологического исследования. Она помогает выбрать дальнейшую тактику лечения.
Методы терапии
Электрофорез коленного сустава с новокаином
Все лечение остеохондропатии надколенника (болезнь Левена) можно подразделить на две группы: консервативное и хирургическое. И его выбор зависит от стадии заболевания, наличия сопутствующих патологий и общего состояния пациента.
Под консервативным лечение подразумевается снижение нагрузки на сустав и ограничение подвижности. Этого можно достичь путем фиксации при помощи эластичного бинта или бандажа. Анальгетики помогают уменьшить выраженность болевого синдрома, однако длительное их применение нежелательно.
Также методы физиотерапии эффективны при местном назначении лекарственных препаратов. К ним относятся:
- электрофорез с новокаином, солями кальция или гидрокортизоном;
- аппликации с отваром шалфея, парафина или озокерита;
- компрессы с димексидом можно накладывать исключительно на неповрежденную кожу.
Если при адекватном снижении нагрузки и «изоляции» сустава положительной динамики не наблюдается, то целесообразно подумать о хирургическом вмешательстве.
Вид оперативного вмешательства зависит от стадийности процесса. При помощи артроскопа можно удалить небольшие кусочки поврежденного хряща с последующей хондропластикой.
В современной травматологии все чаще применяется микрофрактуринг хряща. В основе этого метода лечения лежит создание так называемого «суперсгустка крови» путем формирования искусственных микропереломов хрящевой поверхности. Этот процесс позволяет активировать мезенхимальные клетки с последующей их трансформацией в соединительную хрящевую ткань. В области деструкции со временем формируется «заплатка» из рубцовой или волокнистой ткани. К сожалению, их структура не может полностью заменить нормальный здоровый хрящ, а в результате снижения функций может развиться диффузное дегенеративно-дистрофическое поражение ткани.
Прогноз для выздоровления зависит напрямую от возраста пациента. Если выявить процесс на ранней стадии, то при правильном подходе к лечению можно рассчитывать на полное восстановление тканей и функции сустава. Иногда этот процесс может занимать от 1 года до трех лет.
Содержание
- Описание
- Дополнительные факты
- Причины
- Патогенез
- Классификация
- Симптомы
- Диагностика
- Лечение
Названия
Название: M93,2 Рассекающий остеохондрит.
M93.2 Рассекающий остеохондрит
Описание
Рассекающий остеохондрит или болезнь Кенига. Асептический некроз, вследствие которого небольшой участок хряща отделяется от подлежащей кости и смещается в полость сустава, образуя свободно лежащее внутрисуставное тело. В основном страдает мыщелок бедренной кости, хотя возможно также поражение лучезапястного, локтевого, тазобедренного и голеностопного сустава. В редких случаях выявляется рассекающий остеохондрит надколенника и большеберцовой кости. Заболевание проявляется незначительными болями в суставе. Со временем боли усиливаются. После формирования суставной мыши возникают блокады, замыкание и похрустывание в пораженном суставе. На начальных стадиях у детей достаточно эффективно консервативное лечение. После отделения участка хряща необходима операция. У детей и подростков прогноз благоприятный. Если болезнь возникла в более зрелом возрасте, существует риск развития остеоартроза.
Дополнительные факты
Рассекающий остеохондрит – достаточно редкое заболевание, сопровождающееся отделением участка хряща и перемещением его в полость сустава с образованием «суставной мыши». В основе процесса лежит асептический некроз. Чаще всего страдает коленный сустав (хрящ отделяется от мыщелка бедренной кости), но возможно и поражение других крупных и средних суставов конечностей.
Болеют преимущественно молодые спортсмены. Заболевание может возникнуть в любом возрасте, однако подавляющее число пациентов – люди, не достигшие 50 лет. Еще один вариант болезни – ювенильный рассекающий остехондрит, который развивается у детей младше 9-10 лет. Многие специалисты полагают, что рассекающий остеохондрит у детей и у взрослых – это два разных заболевания со сходными симптомами, поскольку прогноз в этих случаях сильно отличается. У детей болезнь заканчивается полным выздоровлением. У взрослых дефект хряща не восстанавливается, а посттравматический артроз может развиться даже после квалифицированного, адекватного лечения, включающего в себя операцию по удалению суставной мыши.
Читайте также: Перманентная фибрилляция предсердий код по мкб 10
M93.2 Рассекающий остеохондрит
Причины
Большинство специалистов полагает, что причиной развития болезни являются незначительные повторные травмы, обусловленные интенсивными физическими нагрузками. Однако в ряде случаев болезнь возникает у людей, которые не имеют отношения к спорту, и при отсутствии других факторов риска. Если заболевание развилось без видимых причин, такую форму рассекающего остеохондрита называют криптогенной.
Патогенез
В норме суставные поверхности костей покрыты плотным, упругим и гладким гиалиновым хрящом. Это позволяет костям беспрепятственно скользить друг относительно друга при движениях. При рассекающем остеохондрите в небольшом сосуде, питающем участок кости, возникает тромбоз. Питание расположенного над этим участком хряща нарушается, формируется зона асептического некроза.
Со временем некротизированный хрящ отслаивается и попадает в сустав, образуя «суставную мышь» — свободно лежащее внутрисуставное тело, которое перемещается по суставу и, попадая между поверхностями костей при движениях, может вызывать блокады. Поврежденный участок теряет свою гладкость, становясь причиной перегрузок и дальнейшей травматизации сустава. В результате может развиться остеоартроз.
Классификация
Выделяют четыре стадии заболевания:
• 1 стадия. Дискомфорт и неясные незначительные боли без четкой локализации. На рентгенограмме выявляется овальное некротизированное тело, отделенное полоской просветления от здоровой кости.
• 2 стадия. Умеренные боли в суставе, явления синовита. Полоса просветления на рентгеновских снимках становится шире. Целостность замыкательной пластинки на поврежденном участке нарушается.
• 3 стадия. Боли, похрустывание и «заедание» сустава. Возможны блокады. На рентгенограммах выявляется некротизированный участок, частично отделившийся от кости.
• 4 стадия. Боли усиливаются, однако блокады становятся более редкими. Отмечается нарастание синовита. На рентгеновских снимках обнаруживается полностью отделившееся внутрисуставное тело.
Симптомы
Симптомы болезни одинаковы и у детей, и у взрослых пациентов. Вначале в суставе появляется незначительная ноющая боль или неприятные ощущения, усиливающиеся при нагрузке и движениях. Со временем боли усиливаются, возможен небольшой отек и нерезкая болезненность при пальпации.
После того, как некротизированный участок отслоился и превратился в суставную мышь, пациенты начинают предъявлять жалобы на хруст и ощущение «заедания» при движениях, обусловленные наличием препятствия при движениях суставных поверхностей друг относительно друга. Возможны блокады – состояния, при которых сустав во время движения «заклинивает». Блокада сопровождается резкой острой болью, движения невозможны.
Диагностика
Диагноз выставляется на основании истории болезни, жалоб пациента, данных физикального обследования и дополнительных исследований. Самым доступным, недорогим и, как следствие, популярным способом инструментальной диагностики является рентгенография. В ряде случаев участок некротизированной кости виден на рентгенограмме. Однако следует учитывать, что область некроза невелика в ряде случаев может не отображаться на снимках. Поэтому отсутствие изменений на рентгенограмме не является основанием для исключения диагноза рассекающий остеохондрит.
Лечение
Лечение рассекающего остеохондрита осуществляется ортопедами и может быть как консервативным, так и оперативным. Выбор тактики лечения осуществляется с учетом формы и стадии рассекающего остеохондрита. Консервативная терапия более эффективна при ювенильной форме болезни, ее целью является стимуляция восстановительных процессов в пораженной области. Длительность лечения составляет 10-18 месяцев. На это время врачи рекомендуют больному полностью исключить повышенную нагрузку на сустав (в том числе отказаться от занятий спортом).
Первые два месяца пациент ходит, используя костыли. Комплексное консервативное лечение включает в себя сосудистые препараты и лекарственные средства, улучшающее питание и стимулирующее процессы восстановления суставного хряща. После уменьшения болевого синдрома в курс лечения включают лечебную физкультуру.
В ходе терапии для контроля над ходом восстановительных процессов пациента периодически направляют на радиоизотопное сканирование. При необходимости план терапии корректируют с учетом полученных данных. В 50% случаев консервативная терапия при ювенильной форме заболевания оказывается неэффективной. По показаниям больным предлагают хирургическое лечение. При развитии рассекающего остеохондрита у взрослых консервативная терапия не обеспечивает необходимого результата. Практически единственным способом лечения этой формы заболевания остается операция.
Хирургическое вмешательство проводится после отделения участка хряща и формирования свободного внутрисуставного тела. В ходе операции суставная мышь удаляется либо, если дефект суставной поверхности находится в функционально важной зоне, фиксируется специальными металлическими фиксаторами. Основной целью при этом является восстановление конгруэнтности сустава. Кроме того, для восстановления суставной поверхности может использоваться аллотрансплантат (кусочек трупной кости, обработанной с применением специальной технологии).
В настоящее время разрабатываются и постепенно внедряются в клиническую практику новые методики хирургического лечения рассекающего остеохондрита, в том числе – туннелизация кости с последующим введением жидкости, способствующей восстановлению хрящевой и костной ткани, а также имплантация в пораженную зону собственных хрящевых клеток пациента, взятых на другом участке.







