Связанные заболевания и их лечение
Национальные рекомендации по лечению
Стандарты мед. помощи
Содержание
- Описание
- Дополнительные факты
- Причины
- Классификация
- Симптомы
- Диагностика
- Лечение
- Прогноз
- Основные медицинские услуги
- Клиники для лечения
Названия
Название: Рак мочеточника.
Рак мочеточника
Описание
Рак мочеточника. Злокачественное новообразование, происходящее из слизистой оболочки мочеточника или возникающее в результате распространения раковых клеток из другого органа (обычно — из почечной лоханки). Проявляется гематурией, болями в поясничной области и резким повышением температуры тела в вечернее время. В последующем развивается анемия, возможны нарушения мочеиспускания. При обтурации просвета мочеточника возникает гидронефроз. Диагноз «рак мочеточника» выставляется с учетом клинической картины, данных УЗИ, КТ, нефроскопии, цистоскопии, биопсии опухоли и других исследований. Лечение оперативное в сочетании с химиотерапией и радиотерапией.
Дополнительные факты
Рак мочеточника – редкая злокачественная опухоль, поражающая один или оба мочеточника. Бывает первичной или вторичной. В 68% случаев локализуется в нижних отделах, в 20% поражает среднюю треть органа, в 9% располагается в верхних отделах, в 2% распространяется на весь мочеточник. С одинаковой частотой диагностируется справа и слева, в 2-4% случаев обнаруживается в обоих мочеточниках. Страдают преимущественно мужчины. В 80% случаев рак мочеточника выявляется в возрасте 40-70 лет.
Первичные злокачественные новообразования мочеточника составляют от 1 до 4% от общего количества онкологических поражений верхних мочевых путей. Вторичный рак мочеточника обычно возникает в результате имплантационного метастазирования рака почечной лоханки. Наличие проксимально расположенной опухоли мочевых путей резко увеличивает вероятность злокачественного процесса в нижних отделах мочевыводящей системы. Почти у половины пациентов с раком мочеточника в последующем развивается рак мочевого пузыря. При мультифокальных поражениях риск возникновения злокачественного новообразования мочевого пузыря увеличивается до 70%. Лечение осуществляют специалисты в области онкологии и урологии.
Рак мочеточника
Причины
Эпителий мочевых путей очень чувствителен к разнообразным вредным воздействиям: химическим, механическим, застойным, воспалительным В числе негативных химических факторов, увеличивающих риск развития рака мочеточников, – курение (является причиной образования продуктов триптофана, обладающих канцерогенной активностью), постоянный контакт с нитробифенилом, аминобифенилом, диаминодифенилом, нафтиламином, бензидином, мышьяком и некоторыми другими веществами.
Вероятность возникновения рака мочеточника у курящих напрямую коррелирует со стажем курильщика и количеством ежедневно выкуриваемых сигарет. Постоянный контакт с мышьяком и другими соединениями обычно относится к категории профессиональных вредностей, хотя возможны и исключения. В частности, мышьяк может содержаться в воде, некоторые другие вещества – в атмосфере экологически неблагоприятных районов. Специалисты считают, что высокий уровень загрязнения окружающей среды объясняет более высокую частоту рака мочеточников у горожан по сравнению с сельскими жителями.
В числе других факторов, провоцирующих развитие рака мочеточника, – мочекаменная болезнь и воспалительные заболевания мочевых путей. Продвигаясь по мочевым путям, конкременты вызывают постоянное раздражение слизистой оболочки, что со временем приводит к ее гиперплазии. Воспаленная или гиперплазированная слизистая становится более уязвимой к действию канцерогенов. Дополнительную негативную роль играет застой мочи, при котором увеличивается время контакта слизистой с вредными химическими соединениями.
Кроме того, в числе факторов риска развития рака мочеточника онкологи указывают артериальную гипертензию (как первичную, так и обусловленную другими заболеваниями) и длительный прием диуретиков. Установлено, что у пациентов, имеющих близких родственников с раком мочеточника и опухолями почечной лоханки, данная патология развивается чаще, чем в среднем по популяции, однако вероятность возникновения болезни в подобных случаях увеличивается незначительно.
Классификация
Опухоль мочеточника может быть первичной или вторичной. Первичное новообразование развивается непосредственно из эпителия органа, вторичное возникает в результате имплантации злокачественных клеток, мигрирующих с током мочи из почечной лоханки. Вторичный рак мочеточника, развившийся в результате отдаленного метастазирования опухолей других локализаций, диагностируется редко. Рак мочеточников часто бывает мультифокальным (с одновременным или практически одновременным появлением нескольких очагов малигнизации). Если очаг один – новообразование считают единичным, если несколько – то множественным.
С учетом особенностей гистологического строения выделяют три вида рака мочеточника: плоскоклеточный, переходноклеточный и аденокарцинома. В подавляющем большинстве случаев (92-99%) специалисты диагностируют переходноклеточный рак. Плоскоклеточные опухоли выявляются у 1-8% больных. Аденокарциномы встречаются крайне редко. Кроме того, рак мочеточника различается по степени дифференцировки клеток. Существует четыре группы: высокодифференцированные, умеренно дифференцированные, низкодифференцированные и недифференцированные новообразования.
Еще одним показателем, определяющим лечебную тактику и прогноз при злокачественных поражениях мочеточника, является распространенность онкологического процесса. Рак мочеточника может быть локальным, регионарным или с метастазами. Локальное новообразование не выходит за пределы мочеточника, регионарный рак мочеточника прорастает близлежащие органы, периуретральную, периренальную либо перипельвикальную клетчатку, поражает лимфатические сосуды и регионарные лимфоузлы. При раке с метастазами выявляются вторичные опухоли в других органах.
Симптомы
Причиной первого обращения к врачу обычно становится гематурия. Кровь в моче и боли в поясничной области на стороне поражения на ранних стадиях наблюдаются примерно у половины пациентов с раком мочеточника. В последующем гематурия становится более выраженной, повторяющиеся кровопотери приводят к анемии. Обтурация просвета мочеточника растущей опухолью провоцирует гидронефроз и почечные колики. У некоторых больных выявляются нарушения мочеиспускания.
Еще одним характерным симптомом рака мочеточника является повышение температуры до фебрильных цифр в вечернее время. В остальном проявления заболевания сходны с другими онкологическими поражениями. Больные раком мочеточника теряют аппетит, страдают от слабости и быстрой утомляемости. В запущенных случаях присоединяются кахексия, резко выраженная анемия и симптомы поражения различных органов, обусловленные гематогенным метастазированием.
Рак мочеточника диагностируют на основании клинической симптоматики и данных дополнительного обследования. Программа обследования включает в себя КТ почки, УЗИ почки, почечную ангиографию, развернутый и цитологический анализ мочи и другие исследования. Наиболее информативными диагностическими методиками при раке мочеточника являются экскреторная урография и ретроградная уретеропиелография (при наличии противопоказаний назначают антеградную пиелографию) и цистоскопия.
Изменение аппетита. Изменение веса. Истощение. Ломота в мышцах. Нарушение терморегуляции. Отсутствие аппетита. Потеря веса. Слабость. Увеличение СОЭ.
Читайте также: Объемное образование печени код мкб
Диагностика
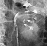
При цистоскопии обнаруживают опухолевидное образование, выступающее из устья мочеточника. В некоторых случаях видны выделения крови. Рентгенологические исследования с контрастированием позволяют определить локализацию рака мочеточника, увидеть расширение лоханки и верхних отделов мочеточника, а также распознать гидроуретеронефроз (при его наличии). На ретроградных уретерограммах просматривается характерная картина «языка змеи», обусловленная затеканием контрастного вещества по обеим сторонам опухоли. Окончательный диагноз выставляют с учетом данных гистологического исследования материала.
Лечение
Лечение оперативное. При небольшой, низко расположенной опухоли мочеточник удаляют вместе с частью мочевого пузыря, формируют уретероцистоанастомоз. При распространенном раке мочеточника выполняют нефроуретерэктомию в сочетании с удалением мочевого пузыря. В отдельных случаях (при тяжелой сочетанной патологии, двухстороннем поражении единственной почки и хронической почечной недостаточности) применяют менее радикальные эндоскопические методики. В послеоперационном периоде больным с раком мочеточника назначают радиотерапию, химиотерапию или внутримочеточниковую иммунохимиотерапию. При неоперабельных новообразованиях проводят консервативную паллиативную терапию.
Прогноз
Прогноз при раке мочеточника определяется стадией опухоли, уровнем дифференцировки клеток, состоянием второй почки, возрастом больного, сопутствующими соматическими заболеваниями и другими факторами. При неинвазивном переходноклеточном раке мочеточника выздоровления удается добиться у 80% больных, при инвазивном – всего у 15%. Химиотерапия не позволяет полностью устранить раковый процесс, но примерно в 40% случаев обеспечивает продолжительную стабилизацию заболевания, однако прогноз при метастатических опухолях и рецидивном раке мочеточника остается неблагоприятным.
Основные медуслуги по стандартам лечения |
|||||||||||||||||||||||||||||||||||||||||||||||||||||||||||||||||||
Клиники для лечения с лучшими ценами
|
|||||||||||||||||||||||||||||||||||||||||||||||||||||||||||||||||||
Связанные заболевания и их лечение
Описания заболеваний
Национальные рекомендации по лечению
Стандарты мед. помощи
Содержание
- Синонимы диагноза
- Описание
- Симптомы
- Причины
- Лечение
- Основные медицинские услуги
- Клиники для лечения
Названия
C66 Злокачественное новообразование мочеточника.
C66 Злокачественное новообразование мочеточника
Синонимы диагноза
Злокачественное новообразование мочеточника, рак мочеточников.
Описание
Рак мочеточника – это злокачественная опухоль, произрастающая из слизистой оболочки мочеточников. Этот вид рака является довольно редким заболеванием и по своему строению похож на рак мочевого пузыря.
То заболевание чаще всего поражает мужчин в возрасте от 40 до 60 лет. Раковая опухольчаще всего поражает нижнюю часть правого, левого или обоих мочеточников. Опухоль проникает в подслизистый и мышечные слои, вызывает атрофию и гидронефроз почки, при этом часто метастазирует.
C66 Злокачественное новообразование мочеточника
Симптомы
Рак мочеточников может быть первичный (появляется непосредственно из тканей мочеточника) и вторичный (образуется вследствие метастазов из других органов). Чаще всего наблюдаются вторичные опухоли.
По характеру роста выделяют:
* доброкачественные опухоли мочеточника (длительно бессимптомно развиваются, рост неинвазивный, не дают метастазов).
* злокачественные опухоли мочеточника (обладают стремительным ростом, рост инвазивный, дают метастазы в другие органы).
По характеру роста выделяют:
* экзофитные опухоли (растут в просвет мочеточника).
* эндофитные опухоли (распространяются в толще стенки мочеточника).
К симптомам рака мочеточника относится следующее:
* Кровь в моче (гематурия).
* Боль при мочеиспускании.
* Частые позывы к мочеиспусканию.
* Боли в пояснице, напоминающие почечную колику.
* Боли в межрёберном пространстве.
* Боли по ходу мочеточника.
* Повышение температуры до субфебрильных цифр.
* Снижение аппетита и массы тела.
* На поздних стадиях – пальпируемое образование в поясничной области.
Причины
К факторам риска развития рака мочеточника относится следующее:
* Курение – провоцирует образование метаболических продуктов триптофана, которые являются канцерогенами.
* Профессиональные вредности – воздействие на человека таких веществ как мышьяк, бензидин, нафтиламин, нитробифенил и некоторых других химических соединений провоцирует образование опухолей в мочеточниках.
* Мочекаменная болезнь – раздражение слизистой конкрементами (камнями) провоцирует ее гиперплазию и может способствовать малигнизации (раковому перерождению) клеток.
* Хронические воспаления мочеполовой системы – риск развития онкологических заболеваний повышается вдвое при наличии инфекции в мочевых путях.
* Артериальная гипертензия.
* Прием диуретиков (мочегонных препаратов).
* Отягощенная наследственность по данному заболеванию.
* Балканская нефропатия – хроническое невоспалительное заболевание почек, ведущее к почечной недостаточности.
Читайте также: Новообразование кожи лица код мкб
Лечение
После всестороннего обследования на основании полученных данных врач назначает соответствующее лечение для каждого больного:
* Хирургическое лечение – обычно включает удаление почки вместе с мочеточником. Во время операции может быть так же удалена и часть мочевого пузыря. При обычной полостной операции предварительно эндоскопически удаляют часть стенки мочевого пузыря в области устья мочеточника.
При опухолях небольших размеров израильские хирурги могут осуществить эндоскопичесое удаление опухоли мочеточника. При этом кроме стандартной резекции части мочеточника возможно проведение лазерной или электрокоагуляции опухоли.
После удаления опухоли для восстановления пассажа мочи может быть выполнен уретеронеоцистоанастомоз или пластика мочеточника с использованием лоскута стенки мочевого пузыря или тонкой кишки.
* Химиотерапия- для лечения рака мочеточника часто применяют препараты, используемые во время лечения рака мочевого пузыря (среди них: адриамицин, винкристин, блеомицин, цисплатин, фторацил).
* Лучевая терапия – применяется дистанционная гамма-терпия, которая способствует снижению скорости роста опухоли и образования метастазов.
* Иммунотерапия – хорошие результаты при лечении данного вида рака показывают препараты группы интерферонов, которые вводятся непосредственно в просвет мочеточника через катетер.
Ранняя диагностика обеспечивает хороший прогноз при лечении рака мочеточников.
Основные медуслуги по стандартам лечения |
|||||||||||||||||||||||||||||||||||||||||||||||||||||||||||||||||||
Клиники для лечения с лучшими ценами
|
|||||||||||||||||||||||||||||||||||||||||||||||||||||||||||||||||||
Содержание
- Синонимы диагноза
- Описание
- Дополнительные факты
- Причины
- Симптомы
- Диагностика
- Лечение
- Прогноз
- Профилактика
- Основные медицинские услуги
- Клиники для лечения
Другие названия и синонимы
Новообразования мочеточника.
Названия
Название: Опухоли мочеточника.
Опухоли мочеточника
Синонимы диагноза
Новообразования мочеточника.
Описание
Опухоли мочеточника. Первичные и вторичные (имплантационные) новообразования выводного протока, соединяющего почечную лоханку с мочевым пузырем. Опухоль мочеточника проявляется гематурией, болью в пояснице на стороне поражения. При диагностике опухоли мочеточника учитывают данные УЗИ, уретероскопии, экскреторной урографии, ретроградной уретеропиелографии, трансуретеральной биопсии. С учетом морфологического строения и распространенности опухоли может выполняться ее трансуретеральная резекция, нефроуретерэктомия или уретерэктомия с пластикой мочеточника.
Опухоли мочеточника
Дополнительные факты
В урологии первичные опухоли мочеточника составляют около 1% от всех опухолевых поражений верхних мочевых путей. Чаще опухоли мочеточника имеют вторичный характер и являются имплантационными метастазами рака почечной лоханки. До 80% опухолей мочеточников обнаруживаются у пациентов в возрасте 40-70 лет.
Среди первичных новообразований выделяют опухоли мочеточника соединительнотканного и эпителиального происхождения. Соединительнотканные опухоли встречаются редко и могут быть представлены фибромами, лейомиомами, нейрофибромами, ангиофибромами, липомами, рабдомиомасаркомами. Большая часть опухолей мочеточника происходит из уротелиального эпителия и гистологически чаще соответствует папилломе, плоскоклеточной или переходно-клеточной (папиллярной) аденокарциноме. При наличии дивертикулов мочеточника вероятность развития в них опухолей значительно повышается.
Опухоли мочеточника могут иметь неинвазивный или инвазивный характер роста, одно- либо двустороннюю локализацию. Первичные опухоли мочеточника преимущественно образуются в нижней (68%) или средней (20,3%) части мочеточника. В 9,4% случаев поражается верхняя треть, а в 2,3% наблюдений — весь мочеточник. На прилоханочную область и верхние отделы мочеточника, как правило, распространяются первичные опухоли лоханки. Наличие опухоли мочеточника на 30-50% повышает риск развития рака мочевого пузыря.
Причины
Уротелий мочеточников очень чувствителен к различного рода химическим канцерогенам, содержащимся в моче. На сегодняшний день совершенно точно определены специфические факторы, способствующие развитию уротелиальных опухолей мочеточника. Среди них ведущая роль отводится табакокурению, повышающему риск возникновения переходно-клеточной карциномы мочевых путей в 3 раза. По статистике, 70% мужчин и около 40% женщин, страдающих раком почек и мочеточника – курильщики.
Существенно повышает вероятность развития уротелиального рака длительное применение анальгетиков, которые индуцируют капилляросклероз и нефропатию, ассоциированную с высокой частотой опухолей мочеточников. Неблагоприятное воздействие на уротелий мочеточников оказывают цитостатические препараты, в частности, циклофосфамид и его метаболит акролеин. Частота возникновения опухолей мочеточника в 2 раза увеличена у пациентов с артериальной гипертензией, особенно тех, кто получает лечение диуретиками.
Отмечено, что риск развития злокачественных опухолей мочеточника, повышен у работников нефтеперерабатывающих производств, а также лиц, занятых на производстве пластика и пластмассы. Определенную степень риска в развитии опухолей несет хроническая инфекция мочевых путей (пиелонефрит), травмы и камни мочеточника. Существуют данные о наследственной природе опухолей мочеточника, связи карциномы мочевых путей с синдромом Линча II, характеризующегося развитием рака толстого кишечника, а также рака матки, яичников и поджелудочной железы.
Читайте также: Код 118 по мкб
Симптомы
Типичными симптомами опухолей мочеточника служат гематурия, боль в пояснице и дизурия. Гематурия при опухолях мочеточника присутствует в 70-95% наблюдений, причем макрогематурия выявляется у 65-70% пациентов и является причиной обращения к урологу. Болевой синдром развивается в 25-50% случаев и вызывается обтурацией лоханочно-мочеточникового сегмента или мочеточника опухолью.
Позднее присоединяются дизурические расстройства (у 5-10% пациентов) и общие симптомы (5-10%) – субфебрилитет, понижение аппетита, похудание. В запущенных стадиях в результате повышения гидростатического давления в почке развивается гидронефроз, опухоль мочеточника может пальпироваться в животе в виде объемного образования.
Отсутствие аппетита.
Диагностика
В комплекс исследований при подозрении на опухоль мочеточника включают физикальное обследование, цитологический анализ мочи, УЗИ почек, экскреторную урографию, ретроградную уретеропиелографию, почечную артериографию, цистоскопию, уретероскопию, КТ почек. При цитологическом исследовании мочи, полученной в результате катетеризации мочеточника, могут быть обнаружены атипичные клетки.
Рентгеновская диагностика (экскреторная урография и ретроградная уретерография) выявляют дефект контрастного заполнения мочеточника в месте опухоли, дилатацию мочеточника и лоханки, гидроуретеронефроз. Катетеризация мочеточника при подготовке к ретроградной уретеропиелографии сопровождается характерным симптомом Шевассю – гематурией при прохождении катетера через препятствие и прекращением выделения крови после преодоления зоны расположения опухоли. Для ретроградных уретерограмм характерны признаки затекания контраста по сторонам от дефекта в виде «змеиного языка».
В случае резкого снижения функций почки, невозможности катетеризации мочеточника предпринимается выполнение пункционной антеградной пиелоуретерографии. Эндоскопические урологические исследования (цистоскопия, уретероскопия) позволяют визуально рассмотреть расположение опухоли мочеточника, выполнить биопсию тканей для проведения морфологического исследования. В ходе цистоскопии определяется пролабирующая из устья мочеточника опухоль, выделение крови из мочеточника.
УЗИ почек производится для выявления инфильтрации опухоли в почечную паренхиму, дифференциации новообразований с рентгенонегативными камнями почек и мочеточников. КТ почек и мочевых путей позволяет оценить распространенность опухоли за пределы почки, вовлеченность лимфоузлов и соседних органов. При необходимости выявления отдаленных метастазов может потребоваться выполнение рентгенографии грудной клетки, сцинтиграфии и УЗИ печени, лимфографии, сцинтиграфии костей.
Лечение
Лечение опухолей мочеточника, в основном, оперативное. При раке мочеточника в дополнение к хирургическому вмешательству проводится радио- и химиотерапия, однако опухолевые клетки к ним малочувствительны. При выборе лечебной тактики руководствуются типом опухоли мочеточника, локализацией новообразования, состоянием противоположной почки и пр.
Гистологически доброкачественные опухоли мочеточника удаляются путем эндоскопической трансуретеральной резекции (электрорезекции, электрокоагуляции, лазерной коагуляции). При поверхностных, неинвазивно растущих опухолях дистальной трети мочеточника возможно проведение сегментарной резекции мочеточника с формированием уретероцистоанастомоза.
Стандартно при локализованной форме переходно-клеточного рака мочеточника и лоханки выполняется нефроуретерэктомия с частичной резекцией мочевого пузыря, что диктуется высокой опасностью дальнейшего распространения опухоли по мочеточнику. При этом резекция мочевого пузыря может выполняться трансуретрально, а нефроуретерэктомия – из лапароскопического доступа. Постоперационное лечение опухоли мочеточника может дополняться адъювантной терапией: системной химиотерапией, радиотерапией, топической (внутримочеточниковой) иммунохимиотерапией и химиотерапией.
Прогноз
Доброкачественные опухоли мочеточника обязательно должны быть удалены, поскольку могут подвергаться малигнизации. После их удаления прогноз для жизни благоприятный. Неинвазивная переходно-клеточная карцинома мочеточника излечима в 80% случаев; инвазивно растущие опухоли – лишь в 10-15%. Злокачественные новообразования после удаления рецидивируют у 12-18% пациентов. При метастатическом или рецидивном течении прогноз неудовлетворительный.
Профилактика
После удаления опухоли мочеточника необходимо наблюдение уролога или нефролога, периодический эндоскопический, рентгенологический и цитологический контроль. Избежать возникновения опухолей мочеточника можно, исключив курение, употребление нефротоксичных препаратов, ограничив взаимодействие с вредными химическими факторами, проводя своевременное лечение заболеваний мочевыводящих путей.
Основные медуслуги по стандартам лечения |
|||||||||||||||||||||||||||||||||||||||||||||||||||||||||||||||||||
Клиники для лечения с лучшими ценами
|
|||||||||||||||||||||||||||||||||||||||||||||||||||||||||||||||||||



