По МКБ 10, код рака щитовидной железы С73. Именно он шифрует злокачественное заболевание, поражающее одну из важнейших желез человеческого организма. Рассмотрим, в чем особенности недуга, как можно его распознать, каковы подходы к лечению. Также обратим внимание на то, почему эта проблема в современной медицине столь актуальна.
Общая информация
Щитовидка – это такой бабочкообразный орган, область локализации которого – фронтальная часть шеи. Эта железа представляет собой один из блоков эндокринной системы человека. Железа ответственна за генерирование ряда жизненно значимых гормонов. Один из них (трийодтиронин) обеспечивает организм возможностью развиваться, расти. Тироксин, вырабатываемый этой железой, необходим для нормальной скорости метаболических процессов, свойственных нашему организму. Наконец, железа генерирует кальцитонин, за счет которого отслеживается, как в организме расходуются запасы кальция.
Зафиксированный как С73 (код по МКБ 10) рак щитовидной железы представляет собой злокачественный процесс, локализованный в органических тканях, формирующих орган. При раковой опухоли клеточный рост не поддается контролю стандартными механизмами, а деление клеток ничем не регулируется.
Актуальность вопроса
Запись С73 (код рака щитовидной железы по МКБ 10) в среднем есть у каждого десятого человека, страдающего опухолевым процессом в этом органе. Основной процент (порядка 9 случаев из десяти) приходится на доброкачественные новообразования. Чаще заболевание развивается у представительниц женского пола – до трех четвертей жертв рака принадлежат именно ему. У женской половины человечества это заболевание занимает пятое место по распространенности. Как выяснили изучавшие медицинскую статистику ученые, среди женщин старше 20 лет, но младше 35, именно эта разновидность онкологического заболевания встречается чаще всех прочих.
Как видно из статистики, основанной на использовании шифра С73 (кода рака щитовидной железы по МКБ 10), эта проблема действительно актуальна для современного общества. Безусловно, любого человека, у которого подозревают заболевание либо точно его диагностировали, волнует вопрос излечимости. Как заверяют специалисты, в общем случае онкологическое заболевание поддается лечению. Как показывают информационные сводки, среди прочих болезней в области онкологии именно у этой – один из лучших исходов, если начать лечение вовремя и правильно. Наилучшие прогнозы у людей, которым патологию диагностировали на начальном уровне, а лечение удалось начать, пока болезнь была на первой или второй стадии. Если прогресс дошел до формирования метастазов, ситуация существенно осложняется.
О категоризации
Выше был указан код диагноза по МКБ (С73). МКБ 10 представляет собой принятый на международном уровне классификатор заболеваний, развивающихся у человека. Эту систему классификации регулярно пересматривают, и десятка в наименовании отражает номер текущей версии, то есть в наши дни актуальна десятая редакция. Классификатор принят в медицине многих стран и использует для обозначения и шифрования диагноза. Система создана ВОЗ и рекомендована к применению повсеместно.
С73 – это код диагноза по МКБ, который шифрует злокачественное формирование, появившееся в щитовидке. Специалистами отмечается, что болезнь чаще наблюдается, как говорилось выше, у лиц женского пола.
Откуда пришла беда
Рак щитовидной железы – заболевание, причины которого в настоящий момент ученые установить не могут. В редких случаях удается сформулировать, что именно спровоцировало онкологию, но это, скорее, исключение, нежели правило. Известно, что определенные разновидности болезни инициируются генетическими трансформациями клеточного уровня.
Выявлены факторы, повышающие опасность для человека. Первый и основной – половая принадлежность. Женщины в большей степени подвержены развитию болезни, риск для представительниц этого пола втрое больше, нежели свойственный мужчинам.
Установлено, что раковое новообразование может появиться непредсказуемо, в любом возрасте, однако чаще это или молодые женщины и дамы среднего возраста, или мужчины старше 50 лет. Если хотя бы один близкий родственник страдал таким злокачественным заболеванием, вероятность его развития существенно выше. Наиболее значимую связь при исследовании статистики выявили с болезнями, которые развивались у родителей, детей, сестер и братьев.
О факторах: продолжая рассмотрение
Как показали наблюдения, разные формы рака щитовидной железы угрожают лицам, которые питаются неполноценно, не получают с пищей необходимого человеку объема йода. Риски сопряжены и с полным отказом от такого питания, и с частичным исключением продуктов, сопровождающимся опасностью нехватки микроэлемента.
Еще одна взаимосвязь выявлена с радиационным облучением. Если ранее персона лечилась от злокачественного процесса, в рамках курса была вынуждена пройти облучение, вероятность патологии щитовидной железы повышается.
Можно ли предупредить
Поскольку точные причины болезни в большинстве случаев установить не получается, профилактика рака щитовидной железы затруднена. Врачам неизвестны способы и методы, которые могли бы полностью исключить опасность развития злокачественной болезни. Разработаны общие советы, позволяющие уменьшить риски для конкретного человека. Наблюдения показали, что они меньше, если персона регулярно занимается спортом и ведет активный, здоровый образ жизни. Не менее важно питаться правильно, сбалансированно, контролируя поступление в организм необходимых элементов и витаминов.
Читайте также: Код по мкб а41
Профилактика рака щитовидной железы предполагает полный отказ от любых вредных привычек. Чтобы минимизировать риски для себя, следует отслеживать содержание йода в организме. Для его поддержания можно пересмотреть диету, проконсультироваться с доктором, дабы определить целесообразность приема специальных пищевых добавок.
О формах
Известно несколько видов рака щитовидной железы. Классификация основана на типе клеточных структур, из которых сформирована патологическая область. Не менее важный параметр – дифференциация. При определении особенностей случая обязательно проверяют степень распространенности.
Есть три типа дифференциации: высокий, средний и низкий. Чем параметр ниже, тем больше будет скорость распространения. Низкодифференцированные патологические процессы имеют худший прогноз, поскольку с трудом поддаются терапии.
Типы: подробнее
Чаще всего диагностируют папиллярную форму заболевания. В среднем на ее долю приходится 80 % онкологических недугов рассматриваемой железы. Приблизительно у 8-9 человек из каждого десятка заболевших процесс распространяется только на одну часть органа. До 65 % не сопровождается распространением за его пределы. Обнаружение метастазов в лимфатической системе происходит при диагностике приблизительно каждого третьего случая. Папиллярная форма медленно прогрессирует. Прогноз относительно благоприятен, поскольку болезнь поддается терапии.
У каждого десятого больного онкологией органа выявляют фолликулярный рак щитовидной железы. Прогноз в этом случае также относительно неплохой. Вероятность распространения процесса на другие органы оценивается не более чем в 10 %. Чаще такой тип патологии обнаруживают у женщин, в организме которых наблюдается нехватка йода.
Продолжая тему
Иногда при подозрении на рак щитовидной железы врачи говорят о возможности патологического процесса медуллярного типа. Такой наблюдается в среднем у 4 % больных онкологией органа. До 70 % сопровождается метастазированием в региональные узлы лимфатической системы. У каждого третьего обнаруживают распространение на костную систему, в ткани легких, печени.
Частота распространения анапластической формы оценивается в 2%. Этот формат считается наиболее агрессивным. Ему свойственно быстрое распространение на лимфатическую систему и в шейные ткани. У многих на этапе постановки диагноза уже поражены легкие. Чаще всего эту болезнь удается обнаружить только на четвертом этапе развития.
Шаг за шагом
Как у любой другой онкологической болезни, у рассматриваемой есть несколько стадий. Рассмотрим общепринятую клиническую систему. По ней к первой стадии относят случай, габариты которого не превышают сантиметра, охвачены только ткани самой железы. Второй этап сопровождается ростом до 4 см, поэтому железа деформируется. Возможно распространение на близлежащие лимфатические узлы (только на одной половине шеи). Этот этап сопровождается первой симптоматикой – шея опухает, голос становится хриплым.
Рак щитовидной железы 3 стадии характеризуется распространением процесса вне начального органа с поражением участков лимфатической системы по обеим сторонам шеи. Патология инициирует боль. Четвертая стадия сопровождается вторичными очагами поражения, распространением на опорно-двигательную, дыхательную и другие системы.
Как заподозрить
Симптомы рака щитовидной железы на ранней стадии обычно не проявляются. На первом этапе заметить болезнь можно лишь в рамках специализированного профилактического обследования. Первые более-менее заметные проявления видят, когда патология дошла до второго или третьего уровня. Симптоматика близка к разнообразным доброкачественным формированиям, поэтому уточнение диагноза усложнено. Чтобы точно определить, что инициировало проявления, необходимо пройти комплексное обследование в условиях специализированной клиники. Рекомендовано посетить специалиста, если вблизи железы сформировалась припухлость, ощущается уплотнение. Рекомендовано обратиться к профессионалу, если шейные лимфатические узлы стали больше нормы, голос часто охрипший, а глотать сложно. Потенциальный симптом процесса – одышка. О раке может сигнализировать болезненность в шее.
Как уточнить
При подозрении на злокачественное заболевание пациента направят на комплексное лабораторное и инструментальное обследование. Диагностические мероприятия выберет эндокринолог. Сперва собирают историю болезни, изучают пальпацией состояние лимфатических узлов, щитовидки. Далее человека направляют в лабораторию для забора крови с целью определения ее качеств через гормональную панель. ТТГ при раке щитовидной железы или выше номы, или существенно ниже. Корректируется выработка других гормонов. Нарушение концентрации активных веществ в кровеносной системе не является однозначным указанием на онкологию, но может свидетельствовать о ней.
Не менее важное обследование – анализ крови для определения содержания онкологических маркеров. Это такие специфические вещества, которые свойственны определенному злокачественному процессу.
Читайте также: Туляремия код по мкб
Продолжая исследования
Пациента обязательно направляют на УЗИ. Исследование с помощью ультразвука позволяет оценить состояние и органа, и лимфатических узлов поблизости. По итогам врач будет знать, каковы габариты железы, есть ли в ней патологическое формирование, насколько оно велико. Из выявленной области берут патологически измененные клетки для биопсии. Процедура требует местной анестезии. Для биопсии используется тонкая игла. Ультразвук позволяет контролировать точность выбора участка получения клеток. Органические образцы направляют в лабораторию для оценки. По итогам исследования доктор будет знать, каковы нюансы строения, насколько злокачественен процесс, а также определит дифференциацию.
После первичного обследования больного направляют на рентгеновский снимок грудной клетки. Альтернатива – компьютерная томография. Процедура помогает определить наличие вторичного опухолевого процесса в дыхательной системе. Чтобы исключить метастазы в мозге, назначается МРТ. Для оценки наличия метастазов в организме показана ПЭТ-КТ. Такая технология помогает определить патологические очаги до миллиметра диаметром.
Как бороться
Закончив диагностику и определив все особенности процесса, врачи подбирают подходящую программу терапии. Могут порекомендовать оперирование, прием медикаментов и курс лучевого лечения. Типовой подход – операция, в ходе которой удаляют патологические клеточные структуры. Есть два основных метода оперирования, выбор в пользу конкретного обусловлен распространением болезни. Если необходимо изъять только часть железы, назначают лобэктомию. При необходимости удаления тканей железы полностью или ее большого участка назначается тиреоидэктомия. Если злокачественные процессы охватили не только железу, но и расположенные поблизости лимфатические узлы, они также подлежат удалению.
Об операциях
Оперирование могут делать открытым способом. На шее горизонтально разрезают ткани. Длина разреза может достигать восьми сантиметров. Для пациента основное преимущество этого подхода – доступная стоимость мероприятия. Не обошлось и без минусов, поскольку после оперирования сохраняется крупный след.
Более современный вариант – ассистирование с помощью видеокамеры. Для этого достаточно трехсантиметрового разреза, через который в организм вводится трубка с видеотехникой и скальпель, работающий на ультразвуковом излучении. В итоге шрам будет не так заметен, но мероприятие довольно сложное и дорогостоящее, не любая клиника располагает оборудованием для его реализации.
Еще более дорогой и надежный метод оперирования – роботизированный. В подмышечной ямке делают разрез, через который в организм вводят специального робота, выполняющего все хирургические манипуляции. После такого оперирования все заживает без каких-либо следов, видимых глазу.
Связанные заболевания и их лечение
Описания заболеваний
Стандарты мед. помощи
Содержание
- Синонимы диагноза
- Описание
- Симптомы
- Причины
- Лечение
- Основные медицинские услуги
- Клиники для лечения
Названия
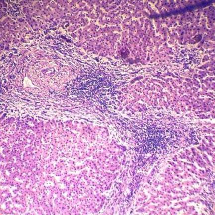
K73,0 Хронический персистирующий гепатит, не классифицированный в других рубриках.
Хронический персистирующий гепатит (гистологический препарат)
Синонимы диагноза
Хронический персистирующий гепатит, не классифицированный в других рубриках, хронический персистирующий гепатит, хронический гепатит персистирующий.
Описание
Хронический персистирующий гепатит / Малоактивный гепатит — это наиболее доброкачественная форма. Могут быть жалобы на незначительные ноющие боли или тяжесть в правом подреберье, непостоянную общую слабость, утомляемость.
Симптомы
Течение хронического персистирующего гепатита / малоактивного гепатитамноголетнее, не прогрессирует. Малоактивный (персистирующий) гепатит протекает бессимптомно или с незначительными симптомами, изменения лабораторных показателей также незначительны. Обострения процесса нехарактерны. Часто больные не ощущают своего заболевания, жалобы полностью отсутствуют. Печень незначительно увеличена, слабо болезненная, редко увеличена селезенка, желтухи не бывает. В период обострения возможны явления диспепсии, тошнота, незначительный болевой синдром. Изменения в биохимическом анализе крови — повышение трансаминаз, тимоловой пробы только в период обострения.
Причины
Этиологическими факторами являются вирусы гепатита В или С. Причиной хронического персистирующего гепатита могут быть воздействие алкоголя, экзогенных токсинов, медикаментов. Характерных клинических и функциональных критериев нет, лишь комплексное исследование позволяет заподозрить у больного хронический персистирующий гепатит.
Лечение
При рациональном образе жизни (диета, запрет алкоголя) возможно выздоровление. Питание должно быть 4-х разовое с полным исключением грибов, консервированных, копченых и вяленых продуктов, жареных блюд, изделий из шоколада, крема и сдобного теста, спиртного, ограничить употребление животных жиров (жирные сорта мяса, утка, гусь, свинина). 1-2 раза в год курсы витаминотерапии (группа В, аскорбиновая кислота, рутин). Рекомендуется творог (ежедневно до 100-150 г), неострые сорта сыра, нежирные сорта рыбы в отварном виде (треска и ). Не рекомендуется прием желчегонных препаратов. Один раз в 6-12 месяцев больному проводить исследование крови на печеночные пробы.
Основные медуслуги по стандартам лечения |
|||||||||||||||||||||||||||||||||||||||||||||||||||||||||||||||||||
Клиники для лечения с лучшими ценами
|
|||||||||||||||||||||||||||||||||||||||||||||||||||||||||||||||||||
Читайте также: Код по мкб эзофагита







