Содержание
- Описание
- Симптомы
- Причины
- Лечение
- Основные медицинские услуги
- Клиники для лечения
Названия
Спондилоартроз.
Спондилоартроз
Описание
Спондилоартрозом (фасеточной артропатией) называется дегенеративное заболевание фасеточных суставов позвоночника. Фасеточные суставы, так же как и фиброзные кольца межпозвонковых дисков являются хорошо иннервируемыми структурами и являются потенциальными источниками боли в спине и шее. Показано, что 40% всех хронических болевых синдромов в области шеи в большей или меньшей степени связаны с развитием фасеточной артропатии. Частота развития спондилоартрозав поясничном отделе позвоночника несколько меньше. Считается, что воспаление фасеточных суставов является причиной боли в спинепримерно у 10% пациентов.
Симптомы
При спондилоартрозе поясничного отдела позвоночника пациентов беспокоят боли в спине, усиливающиеся при поворотах и наклонах назад. Боль, как правило, имеет локализованный характер, и в отличие от боли, вызванной грыжей диска, не иррадиирует в ногу и не сопровождается онемением и слабостью. Однако воспаление фасеточных суставов может способствовать образованию костных наростов (остеофитов), которые могут приводить к развитию стеноза позвоночного канала и компрессии нервных корешков. В этом случае могут появиться симптомы ишиалгии, такие как боль , онемение и слабость в ноге.
Диагноз:
Спондилоартроз редко является единственным заболеванием, приводящим к боли в спине. В большинстве случаев артроз фасеточных суставов сочетается с дегенеративным заболеванием межпозвонковых дисков, и несколько реже со стенозом позвоночного канала. У большинства пациентов, у которых имеются даже умеренные симптомы спондилоартроза, на магнитно-резонансных или компьютерных томограммах обнаруживаются значительные дегенеративные изменения фасеточных суставов. Для выявления воспалительного процесса в области фасеточных суставов у пациентов с болями в спине или шее используется радиоизотопное сканирование позвоночника. Для подтверждения диагноза выполняется диагностическая блокада: для этого в полость сустава под контролем рентгенографии вводится смесь препаратов местного анестетика и стероидного гормона. Значительное уменьшение боли в спине или шее после блокады служит подтверждением диагноза фасеточной артропатии.
Боль в шейном отделе позвоночника. Ломота в теле. Слабость в ногах. Увеличение СОЭ.
Спондилоартроз
Причины
Фасеточные суставы могут воспаляться, являясь источником боли в спине или шее. Воспаление фасеточных суставов часто является следствием их дегенеративных изменений (спондилоартроза). Спондилоартроз, как правило, формируется у пациентов c дегенеративным заболеванием межпозвонковых дисков (остеохондроз). В результате уменьшения высоты дисков возрастает давление на суставные поверхности фасеточных суставов в положении пациента стоя или сидя, а также появляются признаки нестабильности суставов при движениях (наклонах и поворотах). Повышенная нагрузка на фасеточные суставы способствует преждевременному износу гиалинового хряща, деформации суставных поверхностей и развитию реактивного воспаления. Дегенеративное заболевание суставов носит название остеоартроза. Необходимо отметить, что причины и механизмы развития остеоартроза фасеточных суставов идентичны причинам и механизмам развития остеоартроза более крупных суставов.
Лечение
Консервативное лечение фасеточной артропатии состоит из противовоспалительной терапии, тракционной терапии (вытяжение позвоночника) и занятий лечебной физкультурой. Последний метод лечения направлен на увеличение силы и эластичности мышц, формирующих внутренний корсет позвоночника.
Основные медуслуги по стандартам лечения |
|||||||||||||||||||||||||||||||||||||||||||||||||||||||||||||||||||
Клиники для лечения с лучшими ценами
|
|||||||||||||||||||||||||||||||||||||||||||||||||||||||||||||||||||
Содержание
- Описание
- Дополнительные факты
- Причины
- Патогенез
- Симптомы
- Диагностика
- Лечение
- Основные медицинские услуги
- Клиники для лечения
Названия
Название: Поясничный спондилоартроз.
Поясничный спондилоартроз
Описание
Поясничный спондилоартроз. Хроническое прогрессирующее дегенеративно — дистрофическое поражение суставов позвоночника, сопровождающееся истончением и разрушением хряща, изменением суставной капсулы, мышц и связок, а также возникновением краевых разрастаний (остеофитов). Является многофакторным заболеванием, в большинстве случаев возникает вследствие естественного старения позвоночника, но может провоцироваться травмами, нарушениями осанки, врожденными аномалиями Проявляется болями и ограничением подвижности. Для уточнения диагноза используется рентгенография. Лечение обычно консервативное.
Читайте также: Колотая рана кисти код мкб
Дополнительные факты
Поясничный спондилоартроз – одна из форм артроза, поражающего фасеточные (дугоотросчатые) суставы позвоночника и суставы, расположенные между телами позвонков. Сопровождается патологическими изменениями со стороны всех элементов сустава: суставного хряща, подлежащей кости, капсулы, связок и околосуставных мышц. Поясничный спондилоартроз чрезвычайно широко распространен, выявляется у 85-90% пациентов пожилого возраста. При наличии определенных факторов (травм, гипермобильности позвоночных сегментов, врожденных пороках развития позвоночника ) может развиваться у молодых людей в возрасте 25 лет и старше.
Часто сочетается с другими дегенеративно-дистрофическими заболеваниями поясничного отдела позвоночника – остеохондрозом и поясничным спондилезом, при этом все три патологических процесса усугубляют друг друга. В ряде случаев, наряду с перечисленными заболеваниями, может становиться причиной возникновения неврологической симптоматики. Лечение поясничного спондилоартроза могут осуществлять вертебрологи, ортопеды, травматологи, а при возникновении неврологических нарушений – неврологи и нейрохирурги.
Поясничный спондилоартроз
Причины
Пока не удается точно определить первопричину, лежащую в основе развития поясничного спондилоартроза, однако, установлено, что данная патология является мультифакторным заболеванием, ее развитие может быть обусловлено генетической предрасположенностью, влияниями среды или комбинацией этих факторов. Имеется явная связь с возрастом (частота заболеваемости резко увеличивается в старческом и пожилом возрасте) и с полом (женщины болеют вдвое чаще мужчин).
Раннему развитию спондилоартроза способствуют врожденные аномалии поясничного отдела позвоночника, в том числе – незаращение дуги позвонка, сакрализация (слияние крестца и V поясничного позвонка) и люмбализация (формирование дополнительного поясничного позвонка из-за отделения верхней части крестца). Имеет значение и нарушение суставного тропизма – состояние, при котором фасеточные суставы расположены асимметрично, что влечет за собой неравномерное распределение нагрузки на позвоночник.
В числе экзогенных факторов, способствующих развитию поясничного спондилоартроза – травмы и чрезмерные нагрузки на позвоночник. Вероятность возникновения травм позвоночника увеличивается с возрастом, что в значительной степени обусловлено ухудшением физической формы. Сталкиваясь с непривычной физической нагрузкой, люди среднего и пожилого возраста, не уделяющие достаточно внимания физической активности, нередко перенапрягаются и получают микротравмы, способствующие возникновению и развитию артрозных изменений в фасеточных суставах.
Чрезмерная нагрузка на поясницу обычно обусловлена излишним весом (в т. Ожирением) или условиями труда: поднятием тяжелых грузов, длительным пребыванием в вынужденном положении Определенную роль могут играть и занятия видами спорта, сопряженными с поднятием тяжестей (штангисты) или интенсивными движениями в поясничном отделе позвоночника. Кроме того, в отдельную нозологическую категорию выделяют нестабильность позвонков, которая чаще возникает между IV и V или III и IV поясничными позвонками.
Патогенез
Пусковым моментом поясничного спондилоартроза обычно становится нарушение амортизирующей функции студенистого ядра межпозвонковых дисков. Из-за перегрузки ядро становится менее эластичным, высота диска уменьшается, давление на фасеточные суставы и суставные поверхности позвонков увеличивается. Излишнее давление на хрящ нарушает нормальную деятельность хондроцитов – клеток, синтезирующих коллаген, который является частью хрящевой ткани. Структура хряща нарушается, его слой истончается, а поверхность становится неровной.
Из-за уменьшения высоты диска нарушается симметрия при напряжении связок позвоночника и околопозвоночных мышц, что приводит к неравномерному распределению нагрузки на костные и хрящевые структуры и еще больше усугубляет патологические изменения в суставах позвоночника. На определенном этапе в суставах возникает воспаление, способствующее выбросу воспалительных медиаторов и высвобождению простагландинов и коллагеназ, разрушающих коллаген суставного хряща.
Симптомы
Основным симптомом поясничного спондилоартроза является ноющая боль, которая в некоторых случаях может иррадиировать в бедра и ягодицы. Парестезий и онемения, как правило, не возникает. На начальных стадиях боли появляются только в моменты физической активности: при поднятии тяжестей, изменении позы, наклонах, ходьбе В последующем болевой синдром становится более интенсивным, боли начинают беспокоить по ночам, в покое и при незначительных движениях.
В зависимости от причины развития выделяют несколько видов боли при поясничном спондилоартрозе. Стартовые боли появляются при движениях после периода покоя и обычно исчезают в течение 20-50 минут. Механические боли возникают вследствие продолжительной нагрузки на позвоночник и, как правило, усиливаются к вечеру. Для болей вследствие периартрита характерно появление или усиление в процессе наклонов или боковых сгибаний туловища. Причиной блокадных болей является компрессия нервных корешков остеофитами.
Ломота в теле.
Диагностика
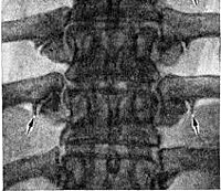
Для подтверждения диагноза выполняют рентгенографию поясничного отдела позвоночника. При спондилоартрозе обнаруживается сужение суставных щелей, более выраженное в нижней части поясничного отдела, субхондральный склероз и остеофиты по краям фасеточных суставов. Могут также выявляться суставные эрозии, кисты и подвывихи суставов. Для оценки вовлеченности мягких тканей и степени их компрессии при необходимости назначают МРТ позвоночника. При наличии неврологических симптомов (обычно наблюдаются при сочетании спондилоартроза с другими дистрофическими заболеваниями позвоночника) больного направляют на консультацию к неврологу.
Читайте также: Код по мкб эпицистостома
Лечение
Лечение поясничного спондилоартроза в подавляющем большинстве случаев консервативное. Важнейшую роль играет немедикаментозная терапия, включающая в себя массаж и лечебную физкультуру. Массаж уменьшает спазм мышц, способствует активизации кровообращения и тканевого обмена в области поражения. ЛФК помогает уменьшить боли и восстановить функциональную активность позвоночника. Параллельно назначают физиотерапевтические процедуры: ультразвук, электрофорез кобальта, серы и цинка, фонофорез с гидрокортизоном и магнитотерапию.
Для уменьшения острой боли при отсутствии признаков выраженного воспаления применяют парацетамол или трамадол. При наличии воспалительных явлений назначают НПВС: целекоксиб, мелоксикам, нимесулид, ибупрофен, диклофенак Наряду с таблетированными формами используют противовоспалительные и согревающие гели и мази. При выраженных спазмах применяют миорелаксанты: тизанидин, толперизон и баклофен. Кроме того, в последние годы при артрозах различной локализации, включая спондилоартроз, наряду с перечисленными выше лекарственными средствами все более активно назначают хондропротекторы: экстракт морских рыб, глюкозамин, хондроитин сульфат Эти препараты предотвращают прогрессирование дегенеративных изменений в хрящевой ткани и замедляют развитие спондилоартроза.
При упорном болевом синдроме производят блокады с новокаином и кортизоном в область фасеточных суставов. Кроме того, при отсутствии эффекта от обычного лечения иногда осуществляют малоинвазивную радиочастотную деструкцию болевых рецепторов в области пораженных суставов. Процедура хорошо переносится больными и выполняется в условиях поликлиники.
При неэффективности консервативного лечения у молодых больных в отдельных случаях проводят хирургические операции, в ходе которых врач устанавливает между остистыми отростками специальные имплантаты – межостистые спойлеры. Эти конструкции помогают расширить межпозвоночные отверстия и снизить нагрузку на позвоночные диски. Операция относится к категории относительно малотравматичных хирургических вмешательств и может проводиться под местной анестезией, как в условиях стационара, так и амбулаторно. Это расширяет возможности использования методики при лечении пожилых пациентов, которые нередко страдают сопутствующими соматическими заболеваниями и тяжело переносят общий наркоз и обширные операции.
Прогноз при поясничном спондилоартрозе, как правило, благоприятный. Регулярное лечение и соблюдение рекомендаций врача в большинстве случаев помогает сохранить функциональность позвоночника и уменьшить болевой синдром. Трудоспособность при изолированном процессе не нарушается за исключением периодов обострений. При сочетании спондилоартроза с другими дегенеративными заболеваниями позвоночника возможно развитие радикулита, образование грыж диска и появление неврологической симптоматики.
Основные медуслуги по стандартам лечения |
||
Клиники для лечения с лучшими ценами
|
Содержание
- Синонимы диагноза
- Описание
- Дополнительные факты
- Анатомия и патанатомия
- Патогенез
- Симптомы
- Диагностика
- Лечение
Другие названия и синонимы
Артроз фасеточных суставов шейного отдела позвоночника, Спондилоартроз шейного отдела позвоночника, Униковертебральный артроз.
Названия
Название: Шейный спондилоартроз.
Шейный спондилоартроз
Синонимы диагноза
Артроз фасеточных суставов шейного отдела позвоночника, Спондилоартроз шейного отдела позвоночника, Униковертебральный артроз.
Описание
Шейный спондилоартроз. Дегенеративно — дистрофический процесс в мелких суставах шейного отдела позвоночника. Обычно поражает людей в возрасте 50-55 лет и старше. После травм, при некоторых заболеваниях и патологических состояниях признаки спондилоартроза могут выявляться у лиц молодого и среднего возраста. Заболевание проявляется ночными болями, болями при движениях и после статической нагрузки, утренней скованностью и ограничением движений. При сдавлении нервных корешков возникают неврологические нарушения. Диагноз уточняют при помощи рентгенографии, МРТ, радиоизотопного сканирования, УЗИ сосудов и других исследований. Лечение консервативное.
Шейный спондилоартроз
Дополнительные факты
Шейный спондилоартроз – разновидность артроза, заболевание, поражающее мелкие суставы шейного отдела позвоночника. Обычно возникает в возрасте 50 лет и старше, однако при травматических поражениях, аномалиях развития и некоторых других состояниях может развиваться у молодых пациентов. Иногда выявляется даже у детей. Редко бывает изолированным, как правило, сочетается с другими болезнями позвоночника – остеохондрозом и спондилезом.
Патологические изменения, обусловленные сочетанием перечисленных заболеваний, могут провоцировать ряд разнообразных симптомов, в числе которых неврологические расстройства, признаки ухудшения кровоснабжения головного мозга Поэтому каждый случай шейного спондилоартроза необходимо рассматривать в комплексе, с учетом других поражений позвоночника. Лечение шейного спондилоартроза осуществляют специалисты в сфере травматологии и ортопедии, вертебрологи и неврологии.
Анатомия и патанатомия
Шейный отдел состоит из 7 позвонков, при этом два верхних позвонка имеют нестандартную форму и отличаются от всех остальных. I шейный позвонок (атлант) напоминает кольцо, которое с одной стороны соединяется с затылочной костью, а с другой «насаживается» на зубовидный отросток II шейного позвонка. Такое соединение позволяет осуществлять свободные вращательные движения (атлант вместе с головой «крутится» вокруг зуба). Кроме того, I и II шейные позвонки соединяются между собой несколькими небольшими суставами, расположенными по боковым поверхностям позвонков. Межпозвоночный диск между I и II позвонками отсутствует.
Остальные позвонки шейного отдела имеют типичное строение. У них есть тело, верхние и нижние суставные отростки. Нижние суставные отростки вышележащего позвонка соединяются с верхними суставными отростками нижележащего посредством фасеточных суставов. Между телами позвонков располагаются межпозвоночные диски – эластичные образования, выполняющие роль амортизаторов. Позвоночник укреплен связками и глубокими тоническими мышцами, которые не подчиняются сознательному контролю и работают рефлекторно, обеспечивая сохранение равновесия и правильного положения позвоночника при движениях и статической нагрузке.
Читайте также: Мкб код хрон бронхит
Патогенез
В фасеточных суставах возникают изменения: количество суставной жидкости уменьшается, хрящи истончаются, становятся менее гладкими. Нередко суставные поверхности излишне смещаются относительно друг друга, что обусловлено как изменениями свойств суставной капсулы, так и избыточной или нефизиологической нагрузкой на суставные отростки. Нагрузка может увеличиваться из-за аномалий развития (нарушения нормальных соотношений между различными структурами позвоночника), нарушений осанки (перераспределения нагрузки) или снижения высоты межпозвоночных дисков (увеличения вертикальной нагрузки).
Из-за смещения суставных поверхностей капсула фасеточного сустава растягивается. Нервные рецепторы, расположенные в толще капсулы, посылают мозгу сигнал об излишнем растяжении. Окружающие мышцы, получившие «команду» устранить возникшее нарушение, излишне напрягаются и спазмируются. При этом, поскольку нормальные соотношения между элементами позвоночника нарушены, суставы фиксируются в порочном положении, что еще больше усугубляет шейный спондилоартроз и приводит к дальнейшему прогрессированию дегенеративно-дистрофических изменений.
Объем движений в суставах уменьшается, со временем могут развиваться анкилозы. Комплекс патологических изменений при одновременном поражении фасеточных суставов и дисков приводит к ущемлению нервных корешков. Возникают неврологические расстройства. Непосредственное сдавление сосудов и боль, вызывающая спазм позвоночных артерий, негативно влияют на кровоснабжение головного мозга, что проявляется головокружениями, головными болями и мельканием мушек перед глазами. Возможны нарушения венозного оттока, приводящие к повышению внутричерепного давления, вследствие чего возникает тяжесть в голове, нарушения координации движений и шум в ушах.
Симптомы
Основным проявлением шейного спондилоартроза на начальных этапах являются болевой синдром и неприятные ощущения в шее. Боли, как правило, ноющие, постоянные, усиливающиеся при движениях. При длительном пребывании в неудобном положении или одномоментной интенсивной нагрузке боль может становиться более острой, иногда – жгучей. По утрам пациенты нередко ощущают скованность в шее, обычно исчезающую в течение 30-40 минут. Иррадиация в плечо и руку нехарактерна, неврологические нарушения отсутствуют.
При прогрессировании шейного спондилоартроза и присоединении остеохондроза симптомы становятся более яркими и разнообразными. Боли периодически усиливаются, начинают иррадиировать в надплечья и верхнюю часть спины. Появляются головокружения, головные боли, ощущение тумана и тяжести в голове. Возникают парестезии и онемение отдельных участков тела, возможны нарушения чувствительности. При поражении суставов I-II позвонков (унковертебральном спондилоартрозе) отмечаются нарушения равновесия, гипорефлексия, шейные и плечевые невриты.
Боль в шейном отделе позвоночника. Шум в ушах.
Диагностика
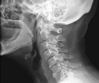
Для подтверждения диагноза назначают рентгенографию позвоночника, МРТ и КТ. Рентгенография шейного отдела информативна при наличии выраженных изменений в фасеточных суставах. КТ позвоночника более чувствительна и позволяет диагностировать спондилоартроз еще на начальных стадиях. На МРТ позвоночника видны сопутствующие изменения мягких тканей. Для оценки состояния мозгового кровообращения и исключения синдрома позвоночной артерии назначают допплерографию (УЗИ сосудов шеи и головы). При наличии неврологических нарушений больных направляют на консультацию к неврологу.
Лечение
Лечение шейного спондилоартроза наиболее эффективно на начальных стадиях, когда в суставах еще не успели развиться анкилозы. Применяют противовоспалительные средства, хондропротекторы и витамины группы В, выполняют блокады пораженной области. Больного направляют на иглоукалывание, обучают специальным упражнениям, направленным на укрепление мышц шейного отдела позвоночника и выработку правильного дыхания (из-за болевого синдрома может меняться длительность вдоха и выдоха).
По показаниям назначают релаксирующий массаж и мануальную терапию. К этим видам лечения следует относиться с осторожностью, применять строго по назначению врача и только в отсутствие признаков острого воспаления. Непродуманная, не вовремя назначенная терапия, а, тем более, самолечение могут привести к обострению спондилоартроза, резкому усилению болевого синдрома и даже появлению неврологической симптоматики. Массаж и мануальную терапию лучше проводить короткими курсами и только под прикрытием противовоспалительных препаратов.
Хирургическое лечение при шейном спондилоартрозе проводится чрезвычайно редко. При динамических нарушениях, обусловленных смещением отростков и сдавлением нервных структур остеофитами, показаны оперативные вмешательства по стабилизации позвоночника. При стабильных нарушениях, вызванных чрезмерными костными разрастаниями в сочетании с грубыми дегенеративными изменениями межпозвоночного диска и стенозом позвоночного канала, необходима операция по декомпрессии (в ряде случаев – в сочетании с последующей стабилизацией пораженного отдела). При выраженном рефлекторном компоненте (постоянном сильном спазме мышц) эффективны малоинвазивные вмешательства – денервация суставов с использованием химических средств или высокочастотного тока.





